• Tel: 858.663.9055
  • SeparatorEmail: info@nsjbio.com
  • Tel: 858.663.9055
  • Email: info@nsjbio.com
Home >> Antibodies >> PALLID Antibody

PALLID Antibody (R33957)

  Catalog No Formulation Size Price (USD)  
Image R33957-100UG 0.5 mg/ml in 1X TBS, pH7.3, with 0.5% BSA (US sourced) and 0.02% sodium azide 100 ug 475
Bulk quote request
Western blot testing of A431 lysate with PALLID antibody at 1ug/ml. Predicted molecular weight: ~20kDa.
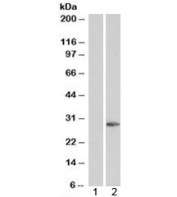
Western blot of HEK293 lysate overexpressing PALLID probed with PALLID antibody (mock transfection in lane 1). Predicted molecular weight: ~20kDa.
Availability 1-3 business days
Species Reactivity Human
Predicted Reactivity Cow, Mouse, Pig, Rat
Format Antigen affinity purified
Host Goat
Clonality Polyclonal (goat origin)
Isotype Goat Ig
Purity Antigen affinity
Gene ID 26258
Applications Western Blot : 1-3ug/ml
ELISA (peptide) LOD : 1:32000
Limitations This PALLID antibody is available for research use only.
Review this product on BioCompare and get a $20 Amazon gift card

Description

Additional name(s) for this target protein: PLDN; PA; Pallidin (Note: Palladin is a different protein)

Application Notes

Optimal dilution of the PALLID antibody should be determined by the researcher.

Immunogen

Amino acids EREKQLTARPAKRM were used as the immunogen for this PALLID antibody.

Storage

Aliquot and store the PALLID antibody at -20oC.

Cross
Bulk Quote Request Form
Name*:
Organization*:
Email*:
Phone Number*:
Catalog No.*:
Comments and Specifics(amount, formulation, etc.)*:
Validation code: Captchapackage Image


Can't read the image? click here to refresh.
    *required field

Your bulk quote request has been submitted successfully!

Please contact us if you have any questions.