• Tel: 858.663.9055
  • SeparatorEmail: info@nsjbio.com
  • Tel: 858.663.9055
  • Email: info@nsjbio.com
Home >> Antibodies >> Osteopontin Antibody / Uropontin / SPP1

Osteopontin Antibody / Uropontin / SPP1 [clone OSP/8693R] (V5054)

  Catalog No Formulation Size Price (USD)  
Image V5054-100UG 0.2 mg/ml in 1X PBS with 0.1 mg/ml BSA (US sourced), 0.05% sodium azide 100 ug 559
Image
V5054-20UG 0.2 mg/ml in 1X PBS with 0.1 mg/ml BSA (US sourced), 0.05% sodium azide 20 ug 259
Image
V5054SAF-100UG 1 mg/ml in 1X PBS; BSA free, sodium azide free 100 ug 559
Microvalidated Recrabbitmono
Bulk quote request
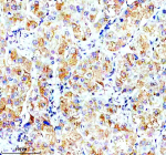
IHC staining of FFPE human brain tissue with Osteopontin antibody (clone OSP/8693R). HIER: boil tissue sections in pH 9 10mM Tris with 1mM EDTA for 20 min and allow to cool before testing.
Availability 1-3 business days
Species Reactivity Human
Format Purified
Host Mouse
Clonality Recombinant Rabbit Monoclonal
Isotype Mouse IgG1, kappa
Clone Name OSP/8693R
Purity Protein A/G affinity
UniProt P10451
Localization Secreted
Applications Immunohistochemistry (FFPE) : 1-2ug/ml for 30 min at RT
Limitations This Osteopontin antibody is available for research use only.
Review this product on BioCompare and get a $20 Amazon gift card

Related Products

Description

Osteopontin is a bone matrix protein and a cytokine secreted by activated T cells. Osteopontin (OPN, also designated bone sialoprotein 1, urinary stone protein, spp-1, nephropontin, uropontin) is an extracellular matrix cell adhesion phosphoglycoprotein. OPN is deposited into unmineralized matrix prior to calcification leading to localization at various tissue interfaces including cement lines, lamina limitans, and between collagen fibrils of fully matured hard tissues. While OPN is a major product of osteoblasts, it is also synthesized by brain and kidney cells. OPNs isolated from or secreted by various tissues have molecular weights due to post-translational modifications. OPN functions as a substrate for transglutaminase and is involved in cell adhesion, chemoattraction and immunomodulation.

Application Notes

Optimal dilution of the Osteopontin antibody should be determined by the researcher.

Immunogen

Recombinant full-length rat protein was used as the immunogen for the Osteopontin antibody.

Storage

Aliquot the Osteopontin antibody and store frozen at -20oC or colder. Avoid repeated freeze-thaw cycles.

Cross
Bulk Quote Request Form
Name*:
Organization*:
Email*:
Phone Number*:
Catalog No.*:
Comments and Specifics(amount, formulation, etc.)*:
Validation code: Captchapackage Image


Can't read the image? click here to refresh.
    *required field

Your bulk quote request has been submitted successfully!

Please contact us if you have any questions.