• Tel: 858.663.9055
  • SeparatorEmail: info@nsjbio.com
  • Tel: 858.663.9055
  • Email: info@nsjbio.com
Home >> Antibodies >> OSBPL1A Antibody

OSBPL1A Antibody (R36405)

  Catalog No Formulation Size Price (USD)  
Image R36405-100UG 0.5 mg/ml in 1X TBS, pH7.3, with 0.5% BSA (US sourced) and 0.02% sodium azide 100 ug 475
Bulk quote request
Western blot testing of human muscle lysate with OSBPL1A antibody at 0.5ug/ml. Predicted/observed molecular weight: ~48 kDa.
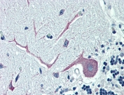
IHC testing of FFPE human cerebellum tissue with OSBPL1A antibody at 5ug/ml. Steamed antigen retrieval with citrate buffer pH 6, AP-staining.
IHC testing of FFPE human skeletal muscle tissue with OSBPL1A antibody at 5ug/ml. Steamed antigen retrieval with citrate buffer pH 6, AP-staining.
Availability 1-3 business days
Species Reactivity Human
Predicted Reactivity Mouse, Rat, Dog, Cow
Format Antigen affinity purified
Host Goat
Clonality Polyclonal (goat origin)
Isotype Goat Ig
Purity Antigen affinity
Gene ID 114876
Localization Cytoplasmic, nuclear
Applications Western Blot : 0.5-2ug/ml
IHC (FFPE) : 5ug/ml
ELISA (peptide) LOD : 1:16000
Limitations This OSBPL1A antibody is available for research use only.
Review this product on BioCompare and get a $20 Amazon gift card

Description

Additional name(s) for this target protein: Oxysterol binding protein-like 1A; ORP1; OSBP-related protein 1

Application Notes

Optimal dilution of the OSBPL1A antibody should be determined by the researcher.

Immunogen

Amino acids YWDRNYFNLPDIY were used as the immunogen for this OSBPL1A antibody.

Storage

Aliquot and store the OSBPL1A antibody at -20oC.

Cross
Bulk Quote Request Form
Name*:
Organization*:
Email*:
Phone Number*:
Catalog No.*:
Comments and Specifics(amount, formulation, etc.)*:
Validation code: Captchapackage Image


Can't read the image? click here to refresh.
    *required field

Your bulk quote request has been submitted successfully!

Please contact us if you have any questions.