• Tel: 858.663.9055
  • SeparatorEmail: info@nsjbio.com
  • Tel: 858.663.9055
  • Email: info@nsjbio.com
Home >> Antibodies >> ORAI1 Antibody

ORAI1 Antibody (F51678)

  Catalog No Formulation Size Price (USD)  
Image F51678-0.4ML In 1X PBS, pH 7.4, with 0.09% sodium azide 0.4 ml 439
Image
F51678-0.08ML In 1X PBS, pH 7.4, with 0.09% sodium azide 0.08 ml 205
Bulk quote request
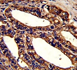
IHC analysis of FFPE human prostate carcinoma stained with ORAI1 antibody
Western blot analysis of ORAI1 antibody and A375 cell line and mouse testis tissue lysate. Predicted molecular weight ~33kDa/45~50kDa (unmodified/glycosylated)
Availability 1-3 business days
Species Reactivity Human, Mouse
Predicted Reactivity Chicken, Rat, Zebrafish
Format Antigen affinity purified
Host Rabbit
Clonality Polyclonal (rabbit origin)
Isotype Rabbit Ig
Purity Antigen affinity
UniProt Q96D31
Applications IHC (Paraffin) : 1:50-1:100
Western Blot : 1:1000
Limitations This ORAI1 antibody is available for research use only.
Review this product on BioCompare and get a $20 Amazon gift card

Related Products

  • Applications : WB
    Reactivity : Human, Mouse, Rat
  • Applications : WB, ELISA
    Reactivity : Human
  • Applications : WB, ELISA (peptide)
    Reactivity : Human
    Pred. Reactivity : Dog, Pig
  • Applications : WB, FACS, Direct ELISA
    Reactivity : Human

Description

ORAI1/CRACM1 is a plasma membrane protein essential for store-operated calcium entry.

Application Notes

Titration of the ORAI1 antibody may be required due to differences in protocols and secondary/substrate sensitivity.

Immunogen

A portion of amino acids 145-173 from the human protein was used as the immunogen for this ORAI1 antibody.

Storage

Aliquot the ORAI1 antibody and store frozen at -20oC or colder. Avoid repeated freeze-thaw cycles.

Cross
Bulk Quote Request Form
Name*:
Organization*:
Email*:
Phone Number*:
Catalog No.*:
Comments and Specifics(amount, formulation, etc.)*:
Validation code: Captchapackage Image


Can't read the image? click here to refresh.
    *required field

Your bulk quote request has been submitted successfully!

Please contact us if you have any questions.