• Tel: 858.663.9055
  • SeparatorEmail: info@nsjbio.com
  • Tel: 858.663.9055
  • Email: info@nsjbio.com
Home >> Antibodies >> OCT-2 Antibody / POU2F2

OCT-2 Antibody / POU2F2 [clone OCT2/2137] (V3913)

  Catalog No Formulation Size Price (USD)  
Image V3913-100UG 0.2 mg/ml in 1X PBS with 0.1 mg/ml BSA (US sourced) and 0.05% sodium azide 100 ug 559
Image
V3913-20UG 0.2 mg/ml in 1X PBS with 0.1 mg/ml BSA (US sourced) and 0.05% sodium azide 20 ug 259
Image
V3913SAF-100UG 1 mg/ml in 1X PBS; BSA free, sodium azide free 100 ug 559
Microvalidated
Bulk quote request
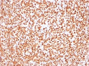
IHC testing of FFPE human lymph node with OCT-2 antibody (clone OCT2/2137). HIER: boil tissue sections in pH 9 10mM Tris with 1mM EDTA for 10-20 min followed by cooling at RT for 20 min.
IHC testing of FFPE human tonsil with OCT-2 antibody (clone OCT2/2137). HIER: boil tissue sections in pH 9 10mM Tris with 1mM EDTA for 10-20 min followed by cooling at RT for 20 min.
Western blot testing of human Ramos lysate with OCT-2 antibody (clone OCT2/2137). Expected molecular weight: isoforms from 43~62 kDa.
Western blot testing of 1) partial recombinant protein and 2) human Daudi lysate with OCT-2 antibody (clone OCT2/2137). Expected molecular weight: isoforms from 43~62 kDa.
Analysis of HuProt(TM) microarray containing more than 19,000 full-length human proteins using OCT-2 antibody (clone OCT2/2137). These results demonstrate the foremost specificity of the OCT2/2137 mAb.
Z- and S- score: The Z-score represents the strength of a signal that an antibody (in combination with a fluorescently-tagged anti-IgG secondary Ab) produces when binding to a particular protein on the HuProt(TM) array. Z-scores are described in units of standard deviations (SD's) above the mean value of all signals generated on that array. If the targets on the HuProt(TM) are arranged in descending order of the Z-score, the S-score is the difference (also in units of SD's) between the Z-scores. The S-score therefore represents the relative target specificity of an Ab to its intended target.
SDS-PAGE analysis of purified, BSA-free OCT-2 antibody (clone OCT2/2137) as confirmation of integrity and purity.
Availability 1-3 business days
Species Reactivity Human
Format Purified
Host Mouse
Clonality Monoclonal (mouse origin)
Isotype Mouse IgG1, kappa
Clone Name OCT2/2137
Purity Protein G affinity
UniProt P09086
Localization Nuclear
Applications Western Blot : 1-2ug/ml
Immunohistochemistry (FFPE) : 1-2ug/ml for 30 min at RT
Limitations This OCT-2 antibody is available for research use only.
Review this product on BioCompare and get a $20 Amazon gift card

Related Products

Description

Oct-2 is a transcription factor of the POU homeo-domain family that binds to the Ig gene octamer sites, regulating B-cell-specific genes. Oct-2 expression can be used as a marker of B-cell lineage and differentiation. Germinal center B-cells, mantle B-cells, monocytoid B-cells, and plasma cells show high level expression of Oct-2. Additionally, mantle cell lymphoma, follicular lymphoma, marginal zone lymphoma, plasmacytoma, Burkitt lymphoma, diffuse large cell lymphoma, diffuse large B-cell lymphoma, Hodgkin lymphoma display increased expression of Oct-2. Several studies of Oct-2 expression have shown a low level expression in pre-B, T-cell, myelomonocytic, and epithelial cell lines, whereas all mature B-cell lines have high levels of expression. In spite of scanty evidence for Oct-2 expression in T cells, it is believed that this factor participates in transcriptional regulation during T-cell activation.

Application Notes

Optimal dilution of the OCT-2 antibody should be determined by the researcher.

Immunogen

A portion of amino acids 112-297 from the human protein was used as the immunogen for the OCT-2 antibody.

Storage

Store the OCT-2 antibody at 2-8oC (with azide) or aliquot and store at -20oC or colder (without azide).

Cross
Bulk Quote Request Form
Name*:
Organization*:
Email*:
Phone Number*:
Catalog No.*:
Comments and Specifics(amount, formulation, etc.)*:
Validation code: Captchapackage Image


Can't read the image? click here to refresh.
    *required field

Your bulk quote request has been submitted successfully!

Please contact us if you have any questions.