• Tel: 858.663.9055
  • SeparatorEmail: info@nsjbio.com
  • Tel: 858.663.9055
  • Email: info@nsjbio.com
Home >> Antibodies >> NUTM1 Antibody / NUT family member 1

NUTM1 Antibody / NUT family member 1 [clone SNUPN/7351R] (V4392)

  Catalog No Formulation Size Price (USD)  
Image V4392-100UG 0.2 mg/ml in 1X PBS with 0.1 mg/ml BSA (US sourced), 0.05% sodium azide 100 ug 559
Image
V4392-20UG 0.2 mg/ml in 1X PBS with 0.1 mg/ml BSA (US sourced), 0.05% sodium azide 20 ug 259
Image
V4392SAF-100UG 1 mg/ml in 1X PBS; BSA free, sodium azide free 100 ug 559
Microvalidated Recrabbitmono
Bulk quote request
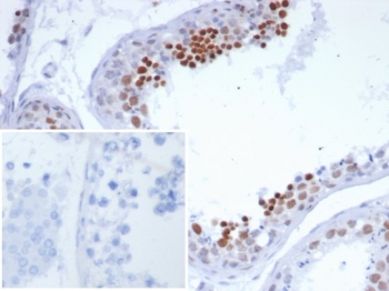
IHC staining of FFPE human testis tissue with NUTM1 antibody (clone SNUPN/7351R). Inset: PBS used in place of primary Ab (secondary Ab negative control). HIER: boil tissue sections in pH 9 10mM Tris with 1mM EDTA for 20 min and allow to cool before testing.
Availability 1-3 business days
Species Reactivity Human
Format Purified
Host Rabbit
Clonality Recombinant Rabbit Monoclonal
Isotype Rabbit IgG, kappa
Clone Name SNUPN/7351R
Purity Protein A/G affinity
UniProt Q86Y26
Localization Nucleus, Cytoplasm
Applications Immunohistochemistry (FFPE) : 1-2ug/ml for 30 minutes at RT
Limitations This NUTM1 antibody is available for research use only.
Review this product on BioCompare and get a $20 Amazon gift card

Related Products

Description

NUTM1 (NUT Midline Carcinoma Family Member 1) is a Protein Coding gene. Diseases associated with NUTM1 include Nut Midline Carcinoma and Spindle Cell Sarcoma. Among its related pathways are Chromatin Regulation / Acetylation. An important paralog of this gene is NUTM2G.Plays a role in the regulation of proliferation. Regulates TERT expression by modulating SP1 binding to TERT promoter binding sites.

Application Notes

Optimal dilution of the NUTM1 antibody should be determined by the researcher.

Immunogen

A recombinant partial protein sequence (within amino acids 900-1100) from the human protein was used as the immunogen for the NUTM1 antibody.

Storage

Aliquot the NUTM1 antibody and store frozen at -20oC or colder. Avoid repeated freeze-thaw cycles.

Cross
Bulk Quote Request Form
Name*:
Organization*:
Email*:
Phone Number*:
Catalog No.*:
Comments and Specifics(amount, formulation, etc.)*:
Validation code: Captchapackage Image


Can't read the image? click here to refresh.
    *required field

Your bulk quote request has been submitted successfully!

Please contact us if you have any questions.