• Tel: 858.663.9055
  • SeparatorEmail: info@nsjbio.com
  • Tel: 858.663.9055
  • Email: info@nsjbio.com
Home >> Antibodies >> Nuclear Antigen Antibody

Nuclear Antigen Antibody [clone NUCM1-1] (V7192)

  Catalog No Formulation Size Price (USD)  
Image V7192-100UG 0.2 mg/ml in 1X PBS with 0.1 mg/ml BSA (US sourced) and 0.05% sodium azide 100 ug 559
Image
V7192-20UG 0.2 mg/ml in 1X PBS with 0.1 mg/ml BSA (US sourced) and 0.05% sodium azide 20 ug 259
Image
V7192SAF-100UG 1 mg/ml in 1X PBS; BSA free, sodium azide free 100 ug 559
Image
V7192IHC-7ML Prediluted in 1X PBS with 0.1 mg/ml BSA (US sourced) and 0.05% sodium azide; *For IHC use only* 7 ml 559
Bulk quote request
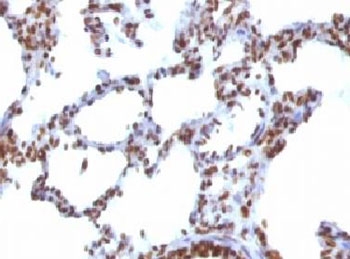
IHC testing of FFPE rat lung with Nuclear Antigen antibody (clone NUCM1-1). FFPE testing requires sections to be boiled in pH 9 10mM Tris with 1mM EDTA for 10-20 minutes, followed by cooling at RT for 20 minutes, prior to staining.
IHC testing of FFPE human tonsil with Nuclear Antigen antibody (clone NUCM1-1). FFPE testing requires sections to be boiled in pH 9 10mM Tris with 1mM EDTA for 10-20 minutes, followed by cooling at RT for 20 minutes, prior to staining.
Immunofluorescent staining of PFA-fixed human HeLa cells with Nuclear Marker antibody (green, clone NUCM1-1) and Phalloidin (red).
Availability 1-3 business days
Species Reactivity Human, Rat
Format Purified
Host Mouse
Clonality Monoclonal (mouse origin)
Isotype Mouse IgG1, kappa
Clone Name NUCM1-1
Purity Protein G affinity chromatography
Localization Nuclei
Applications Immunofluorescence : 1-2ug/ml
Immunohistochemistry (FFPE) : 1-2ug/ml for 30 min at RT
Prediluted IHC Only Format : incubate for 30 min at RT (1)
Limitations This Nuclear Antigen antibody is available for research use only.
Review this product on BioCompare and get a $20 Amazon gift card

Related Products

Description

This mAb recognizes an antigen associated with the nuclei in cells. It can be used to stain the nuclei in cell or tissue preparations and can be used as a nuclear marker in subcellular fractions.

Application Notes

Titering of the Nuclear Antigen antibody may be required for optimal performance.

1. The prediluted format is supplied in a dropper bottle and is optimized for use in IHC. After epitope retrieval step (if required), drip mAb solution onto the tissue section and incubate at RT for 30 min.

Immunogen

Human cell nuclei were used as the immunogen for the Nuclear Antigen antibody.

Storage

Store the Nuclear Antigen antibody at 2-8oC (with azide) or aliquot and store at -20oC or colder (without azide).

Cross
Bulk Quote Request Form
Name*:
Organization*:
Email*:
Phone Number*:
Catalog No.*:
Comments and Specifics(amount, formulation, etc.)*:
Validation code: Captchapackage Image


Can't read the image? click here to refresh.
    *required field

Your bulk quote request has been submitted successfully!

Please contact us if you have any questions.