• Tel: 858.663.9055
  • SeparatorEmail: info@nsjbio.com
  • Tel: 858.663.9055
  • Email: info@nsjbio.com
Home >> Antibodies >> NTN3 Antibody / Netrin 3

NTN3 Antibody / Netrin 3 (RQ8454)

  Catalog No Formulation Size Price (USD)  
Image RQ8454 0.5mg/ml if reconstituted with 0.2ml sterile DI water 100 ug 449
Bulk quote request
Immunofluorescent staining of FFPE human HeLa cells with NTN3 antibody (red) and DAPI nuclear stain (blue). HIER: steam section in pH6 citrate buffer for 20 min.
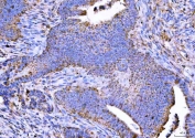
IHC staining of FFPE human colorectal adenocarcinoma tissue with NTN3 antibody. HIER: boil tissue sections in pH8 EDTA for 20 min and allow to cool before testing.
Western blot testing of 1) human RT4, 2) U-251, 3) SH-SY5Y, 4) HeLa and 5) rat liver tissue lysate with NTN3 antibody. Predicted molecular weight ~61 kDa but may be observed at higher molecular weights due to glycosylation.
Availability 1-3 business days
Species Reactivity Human, Rat
Format Antigen affinity purified
Host Rabbit
Clonality Polyclonal (rabbit origin)
Isotype Rabbit IgG
Purity Antigen affinity purified
Buffer Lyophilized from 1X PBS with 2% Trehalose
UniProt O00634
Applications Western Blot : 0.5-1ug/ml
Immunohistochemistry (FFPE) : 2-5ug/ml
Immunofluorescence : 5ug/ml
ELISA : 0.1-0.5ug/ml
Limitations This NTN3 antibody is available for research use only.
Review this product on BioCompare and get a $20 Amazon gift card

Description

Netrins are a family of highly conserved proteins responsible for axon guidance and cell movement throughout neural development. Netrins can be divided into secreted netrins (netrin 1,3,4 and 5) and membrane-tethered glycophosphatidylinositol (GPI)-linked netrins (netrin G1 and G2). Secreted netrins carry their function via interaction with several receptors that include the deleted in colorectal (DCC) family, and the uncoordinated-5 (UNC5-A through UNC5-D) family. Netrin-3 was discovered in 1997 using sequence homology searching of netrin-2. Similarly to other netrins, Netrin-3 plays an important role in the development of the nervous system. Netrin-3 structure consist of a laminin-like domain located on the N-terminal, three epidermal growth factors like repeats (EGF), and a C-terminal netrin-like domain (NTR). Mutations in NTN3, the gene encoding netrin-3 was found to be associated with the development of several carcinomas.

Application Notes

Optimal dilution of the NTN3 antibody should be determined by the researcher.

Immunogen

An E.coli-derived human recombinant protein (R51-R473) was used as the immunogen for the NTN3 antibody.

Storage

After reconstitution, the NTN3 antibody can be stored for up to one month at 4oC. For long-term, aliquot and store at -20oC. Avoid repeated freezing and thawing.

Cross
Bulk Quote Request Form
Name*:
Organization*:
Email*:
Phone Number*:
Catalog No.*:
Comments and Specifics(amount, formulation, etc.)*:
Validation code: Captchapackage Image


Can't read the image? click here to refresh.
    *required field

Your bulk quote request has been submitted successfully!

Please contact us if you have any questions.