• Tel: 858.663.9055
  • SeparatorEmail: info@nsjbio.com
  • Tel: 858.663.9055
  • Email: info@nsjbio.com
Home >> Antibodies >> NPY5R Antibody

NPY5R Antibody (R34109)

  Catalog No Formulation Size Price (USD)  
Image R34109-100UG 0.5 mg/ml in 1X TBS, pH7.3, with 0.5% BSA (US sourced) and 0.02% sodium azide 100 ug 475
Bulk quote request
Western blot testing of human brain lysate with NPY5R antibody at 0.3ug/ml. Predicted/observed molecular weight: ~51kDa.
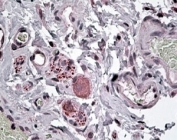
IHC staining of FFPE human intestine with NPY5R antibody at 4ug/ml. HIER: steamed with pH6 citrate buffer, AP-staining.
Availability 1-3 business days
Species Reactivity Human
Predicted Reactivity Dog, Mouse, Rat
Format Antigen affinity purified
Host Goat
Clonality Polyclonal (goat origin)
Isotype Goat Ig
Purity Antigen affinity
Gene ID 4889
Applications Western Blot : 0.3-1ug/ml
Immunohistochemistry (FFPE) : 4-6ug/ml
Immunoprecipitation : suitable
ELISA (peptide) LOD : 1:32000
Limitations This NPY5R antibody is available for research use only.
Review this product on BioCompare and get a $20 Amazon gift card

Related Products

  • Applications : WB, IHC, ELISA (peptide)
    Reactivity : Human
    Pred. Reactivity : Dog, Mouse, Rat

Description

Additional name(s) for this target protein: Neuropeptide Y receptor Y5

Application Notes

Optimal dilution of the NPY5R antibody should be determined by the researcher.

Immunogen

Amino acids GLSNKENRLEEN were used as the immunogen for this NPY5R antibody.

Storage

Aliquot and store the NPY5R antibody at -20oC.

Cross
Bulk Quote Request Form
Name*:
Organization*:
Email*:
Phone Number*:
Catalog No.*:
Comments and Specifics(amount, formulation, etc.)*:
Validation code: Captchapackage Image


Can't read the image? click here to refresh.
    *required field

Your bulk quote request has been submitted successfully!

Please contact us if you have any questions.