• Tel: 858.663.9055
  • SeparatorEmail: info@nsjbio.com
  • Tel: 858.663.9055
  • Email: info@nsjbio.com
Home >> Antibodies >> NOLC1 Antibody

NOLC1 Antibody (R35506)

  Catalog No Formulation Size Price (USD)  
Image R35506-100UG 0.5 mg/ml in 1X TBS, pH7.3, with 0.5% BSA (US sourced) and 0.02% sodium azide 100 ug 475
Bulk quote request
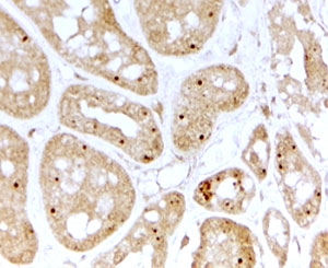
IHC testing of FFPE human kidney with NOLC1 antibody at 2ug/ml. HIER: steamed with pH6 citrate buffer, HRP-staining. Nucleolar staining in convoluted tubules is seen.
Availability 1-3 business days
Species Reactivity Human
Predicted Reactivity Cow, Dog, Mouse, Rat
Format Antigen affinity purified
Host Goat
Clonality Polyclonal (goat origin)
Isotype Goat Ig
Purity Antigen affinity
Gene ID 9221
Applications Immunohistochemistry (FFPE) : 2-4ug/ml
ELISA (peptide) LOD : 1:16000
Limitations This NOLC1 antibody is available for research use only.
Review this product on BioCompare and get a $20 Amazon gift card

Related Products

Description

Additional name(s) for this target protein: Nucleolar and coiled-body phosphoprotein 1

Application Notes

Optimal dilution of the NOLC1 antibody should be determined by the researcher.

Immunogen

Amino acids QVNSIKFDSE were used as the immunogen for this NOLC1 antibody.

Storage

Aliquot and store the NOLC1 antibody at -20oC.

Cross
Bulk Quote Request Form
Name*:
Organization*:
Email*:
Phone Number*:
Catalog No.*:
Comments and Specifics(amount, formulation, etc.)*:
Validation code: Captchapackage Image


Can't read the image? click here to refresh.
    *required field

Your bulk quote request has been submitted successfully!

Please contact us if you have any questions.