• Tel: 858.663.9055
  • SeparatorEmail: info@nsjbio.com
  • Tel: 858.663.9055
  • Email: info@nsjbio.com
Home >> Antibodies >> NKD2 Antibody / Naked-2

NKD2 Antibody / Naked-2 (F54639)

  Catalog No Formulation Size Price (USD)  
Image F54639-0.4ML In 1X PBS, pH 7.4, with 0.09% sodium azide 0.4 ml 439
Image
F54639-0.08ML In 1X PBS, pH 7.4, with 0.09% sodium azide 0.08 ml 205
Bulk quote request
Western blot testing of human Jurkat cell lysate with NKD2 antibody. Expected molecular weight: 50-60 kDa.
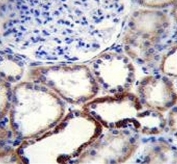
IHC testing of FFPE human kidney tissue with NKD2 antibody. HIER: steam section in pH6 citrate buffer for 20 min and allow to cool prior to staining.
Immunofluorescent staining of human A375 cells with NKD2 antibody (green), DAPI nuclear stain (blue) and anti-Actin (red).
Flow cytometry testing of human Jurkat cells with NKD2 antibody; Blue=isotype control, Green= NKD2 antibody.
Availability 1-3 business days
Species Reactivity Human
Format Purified
Host Rabbit
Clonality Polyclonal (rabbit origin)
Isotype Rabbit Ig
Purity Antigen affinity purified
UniProt Q969F2
Localization Cytoplasmic
Applications Flow Cytometry : 1:25 (1x10e6 cells)
Immunofluorescence : 1:25
Immunohistochemistry (FFPE) : 1:25
Western Blot : 1:500-1:2000
Limitations This NKD2 antibody is available for research use only.
Review this product on BioCompare and get a $20 Amazon gift card

Description

Protein naked cuticle homolog 2, also called Naked-2 and NKD2, is a cell autonomous antagonist of the canonical Wnt signaling pathway. [UniProt]

Application Notes

The stated application concentrations are suggested starting points. Titration of the NKD2 antibody may be required due to differences in protocols and secondary/substrate sensitivity.

Immunogen

A portion of amino acids 366-393 from the human protein was used as the immunogen for the NKD2 antibody.

Storage

Aliquot the NKD2 antibody and store frozen at -20oC or colder. Avoid repeated freeze-thaw cycles.

Cross
Bulk Quote Request Form
Name*:
Organization*:
Email*:
Phone Number*:
Catalog No.*:
Comments and Specifics(amount, formulation, etc.)*:
Validation code: Captchapackage Image


Can't read the image? click here to refresh.
    *required field

Your bulk quote request has been submitted successfully!

Please contact us if you have any questions.