• Tel: 858.663.9055
  • SeparatorEmail: info@nsjbio.com
  • Tel: 858.663.9055
  • Email: info@nsjbio.com
Home >> Antibodies >> NIPP1 Antibody

NIPP1 Antibody (R33722)

  Catalog No Formulation Size Price (USD)  
Image R33722-100UG 0.5 mg/ml in 1X TBS, pH7.3, with 0.5% BSA (US sourced) and 0.02% sodium azide 100 ug 475
Bulk quote request
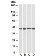
Western blot testing of human HeLa [A], HepG2 [B], Jurkat [C] and mouse NIH3T3 [D] nuclear lysate with NIPP1 antibody at 1ug/ml. Predicted molecular weight: ~39kDa.
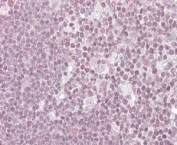
IHC staining of FFPE human thymus with NIPP1 antibody at 4ug/ml. HIER: steamed with pH6 citrate buffer, AP-staining. Speckled staining of the nuclei is seen.
Availability 1-3 business days
Species Reactivity Human
Predicted Reactivity Cow, Dog, Mouse, Rat
Format Antigen affinity purified
Host Goat
Clonality Polyclonal (goat origin)
Isotype Goat Ig
Purity Antigen affinity
Gene ID 5511
Localization Nuclear
Applications Western Blot : 1-2ug/ml
Immunohistochemistry (FFPE) : 2.5-5ug/ml
ELISA (peptide) LOD : 1:32000
Limitations This NIPP1 antibody is available for research use only.
Review this product on BioCompare and get a $20 Amazon gift card

Description

Additional name(s) for this target protein: Protein phosphatase 1, regulatory (inhibitor) subunit 8; PPP1R8

Application Notes

Optimal dilution of the NIPP1 antibody should be determined by the researcher.

Immunogen

Amino acids EAWPGKKPTPSLLI were used as the immunogen for this NIPP1 antibody.

Storage

Aliquot and store the NIPP1 antibody at -20oC.

Cross
Bulk Quote Request Form
Name*:
Organization*:
Email*:
Phone Number*:
Catalog No.*:
Comments and Specifics(amount, formulation, etc.)*:
Validation code: Captchapackage Image


Can't read the image? click here to refresh.
    *required field

Your bulk quote request has been submitted successfully!

Please contact us if you have any questions.