• Tel: 858.663.9055
  • SeparatorEmail: info@nsjbio.com
  • Tel: 858.663.9055
  • Email: info@nsjbio.com
Home >> Antibodies >> Neuroserpin Antibody

Neuroserpin Antibody (R36223)

  Catalog No Formulation Size Price (USD)  
Image R36223-100UG 0.5 mg/ml in 1X TBS, pH7.3, with 0.5% BSA (US sourced) and 0.02% sodium azide 100 ug 475
Bulk quote request
Western blot testing of human brain lysate with Neuroserpin antibody at 1ug/ml. Predicted molecular weight: ~46 kDa.
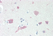
IHC staining of FFPE human cortex tissue with Neuroserpin antibody at 5ug/ml. Required HIER: steamed antigen retrieval with pH6 citrate buffer; AP-staining.
FACS testing of fixed and permeabilized human HeLa cells with GADD34 antibody (blue) at 10ug/10^6 cells in 0.2ml and naive goat Ig (black).
Availability 1-3 business days
Species Reactivity Human
Predicted Reactivity Mouse, Rat, Pig, Cow
Format Antigen affinity purified
Host Goat
Clonality Polyclonal (goat origin)
Isotype Goat Ig
Purity Antigen affinity
Gene ID 5274
Applications Western Blot : 1-3ug/ml
Immunohistochemistry (FFPE) : 5ug/ml
Flow Cytometry : 10ug/million cells
ELISA (peptide) LOD : 1:32000
Limitations This Neuroserpin antibody is available for research use only.
Review this product on BioCompare and get a $20 Amazon gift card

Related Products

Description

Additional name(s) for this target protein: SERPINI1; serpin peptidase inhibitor, clade I (neuroserpin), member 1

Application Notes

Optimal dilution of the Neuroserpin antibody should be determined by the researcher.

Immunogen

Amino acids TMNTSGHDFEEL were used as the immunogen for this Neuroserpin antibody.

Storage

Aliquot and store the Neuroserpin antibody at -20oC.

Cross
Bulk Quote Request Form
Name*:
Organization*:
Email*:
Phone Number*:
Catalog No.*:
Comments and Specifics(amount, formulation, etc.)*:
Validation code: Captchapackage Image


Can't read the image? click here to refresh.
    *required field

Your bulk quote request has been submitted successfully!

Please contact us if you have any questions.