• Tel: 858.663.9055
  • SeparatorEmail: info@nsjbio.com
  • Tel: 858.663.9055
  • Email: info@nsjbio.com
Home >> Antibodies >> Neurofilament Antibody / Heavy

Neurofilament Antibody / Heavy [clone NF421] (V2212)

  Catalog No Formulation Size Price (USD)  
Image V2212-100UG 0.2 mg/ml in 1X PBS with 0.1 mg/ml BSA (US sourced) and 0.05% sodium azide 100 ug 559
Image
V2212-20UG 0.2 mg/ml in 1X PBS with 0.1 mg/ml BSA (US sourced) and 0.05% sodium azide 20 ug 259
Image
V2212SAF-100UG 1 mg/ml in 1X PBS; BSA free, sodium azide free 100 ug 559
Image
V2212IHC-7ML Prediluted in 1X PBS with 0.1 mg/ml BSA (US sourced) and 0.05% sodium azide; *For IHC use only* 7 ml 559
Bulk quote request
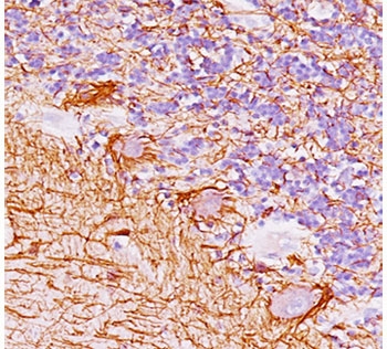
IHC testing of FFPE human cerebellum with Neurofilament antibody (clone NF421).
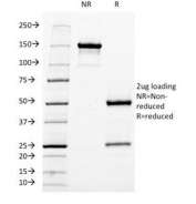
SDS-PAGE Analysis of Purified, BSA-Free Neurofilament Antibody (clone NF421). Confirmation of Integrity and Purity of the Antibody.
Western blot testing of human brain lysate with Neurofilament antibody (clone NF421).
Flow cytometry testing of permeabilized human HEK293 cells with Neurofilament antibody (clone NF421); Red=isotype control, Blue= Neurofilament antibody.
Immunofluorescent staining of permeabilized human HEK293 cells with Neurofilament antibody (clone NF421, green) and Phalloidin (red).
IHC testing of FFPE rat cerebellum with Neurofilament antibody (clone NF421).
Species Reactivity Human, Mouse, Rat
Format Purified
Host Mouse
Clonality Monoclonal (mouse origin)
Isotype Mouse IgG1, kappa
Clone Name NF421
Purity Protein G purified Neurofilament antibody
Buffer 1X PBS, pH 7.4
Gene ID 4744
Localization Cytoplasmic, membranous
Applications Western Blot : 1-2ug/ml
Flow Cytometry : 0.5-1ug/million cells
Immunofluorescence : 1-2ug/ml
Immunohistochemistry (FFPE) : 0.25-0.5ug/ml for 30 min at RT
Limitations This Neurofilament antibody is available for research use only.
Review this product on BioCompare and get a $20 Amazon gift card

Related Products

Description

Neurofilaments make up the main structural elements of axons and dendrites and are found in neurons, peripheral nerves, and sympathetic ganglion cells. Neurofilaments consist of three major subunits with molecular weights of 68kDa (NF-L), 160kDa (NF-M) and 200kDa (NF-H). The fourth neurofilament subunit is alpha internexin in the central nervous system and peripherin in the peripheral nervous system.

Application Notes

The usable concentrations in the Applications Details are suggestions only. The use of different protocols/secondaries/substrates may require the Neurofilament antibody to be titered for optimal performance.

1. The NF421 antibody is specific to the heavy subunit.
2. FFPE tissues requires boiling tissue sections in 10mM citrate buffer, pH 6.0, for 10-20 min followed by cooling at RT for 20 minutes.
3. The prediluted format is supplied in a dropper bottle and is optimized for use in IHC. After epitope retrieval step (if required), drip mAb solution onto the tissue section and incubate at RT for 30 min.

Immunogen

Human recombinant Neurofilament protein was used as the immunogen. (1)

Storage

Store the Neurofilament antibody at 2-8oC (with azide) or aliquot and store at -20oC or colder (without azide).

Cross
Bulk Quote Request Form
Name*:
Organization*:
Email*:
Phone Number*:
Catalog No.*:
Comments and Specifics(amount, formulation, etc.)*:
Validation code: Captchapackage Image


Can't read the image? click here to refresh.
    *required field

Your bulk quote request has been submitted successfully!

Please contact us if you have any questions.