• Tel: 858.663.9055
  • SeparatorEmail: info@nsjbio.com
  • Tel: 858.663.9055
  • Email: info@nsjbio.com
Home >> Antibodies >> Neurobeachin Antibody

Neurobeachin Antibody (R33442)

  Catalog No Formulation Size Price (USD)  
Image R33442-100UG 0.5 mg/ml in 1X TBS, pH7.3, with 0.5% BSA (US sourced) and 0.02% sodium azide 100 ug 475
Bulk quote request
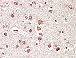
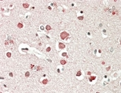
IHC staining of FFPE human cerebral cortex with Neurobeachin antibody at 5ug/ml. HIER: steamed with pH6 citrate buffer, AP-staining.
Availability 1-3 business days
Species Reactivity Human, Mouse
Predicted Reactivity Cow, Dog
Format Antigen affinity purified
Host Goat
Clonality Polyclonal (goat origin)
Isotype Goat Ig
Purity Antigen affinity
Gene ID 26960
Applications Immunohistochemistry (FFPE) : 5-10ug/ml
ELISA (peptide) LOD : 1:4000
Limitations This Neurobeachin antibody is available for research use only.
Review this product on BioCompare and get a $20 Amazon gift card

Description

Additional name(s) for this target protein: NBEA

Application Notes

Optimal dilution of the Neurobeachin antibody should be determined by the researcher.

1. This Neurobeachin antibody will detect isoforms 1 and 2.

Immunogen

Amino acids DFNRWHYEHQNRY were used as the immunogen for this Neurobeachin antibody.

Storage

Aliquot and store the Neurobeachin antibody at -20oC.

Cross
Bulk Quote Request Form
Name*:
Organization*:
Email*:
Phone Number*:
Catalog No.*:
Comments and Specifics(amount, formulation, etc.)*:
Validation code: Captchapackage Image


Can't read the image? click here to refresh.
    *required field

Your bulk quote request has been submitted successfully!

Please contact us if you have any questions.