• Tel: 858.663.9055
  • SeparatorEmail: info@nsjbio.com
  • Tel: 858.663.9055
  • Email: info@nsjbio.com
Home >> Antibodies >> NDRG2 Antibody

NDRG2 Antibody (R34390)

  Catalog No Formulation Size Price (USD)  
Image R34390-100UG 0.5 mg/ml in 1X TBS, pH7.3, with 0.5% BSA (US sourced) and 0.02% sodium azide 100 ug 475
Bulk quote request
Western blot testing of human temporal cortex lysate with NDRG2 antibody at 0.1ug/ml. Predicted molecular weight: ~41kDa.
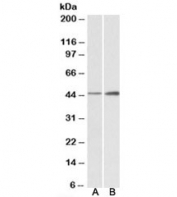
Western blot of mouse (A) and rat (B) brain lysates with NDRG2 antibody at 0.3ug/ml. Predicted molecular weight: ~41kDa.
Availability 1-3 business days
Species Reactivity Human, Mouse, Rat
Predicted Reactivity Dog
Format Antigen affinity purified
Host Goat
Clonality Polyclonal (goat origin)
Isotype Goat Ig
Purity Antigen affinity
Gene ID 57447
Applications Western Blot : 0.1-0.3ug/ml
ELISA (peptide) LOD : 1:16000
Limitations This NDRG2 antibody is available for research use only.
Review this product on BioCompare and get a $20 Amazon gift card

Related Products

  • Applications : WB, IHC-P
    Reactivity : Human, Mouse, Rat
  • Applications : WB, ELISA
    Reactivity : Human
    Pred. Reactivity : Bovine, Primate
  • Applications : WB, IF
    Reactivity : Human, Mouse, Rat

Description

Additional name(s) for this target protein: NDRG family member 2

Application Notes

Optimal dilution of the NDRG2 antibody should be determined by the researcher.

1. This NDRG2 antibody is specific for isoform a.

Immunogen

Amino acids KEAELAARILLDQGQ were used as the immunogen for this NDRG2 antibody.

Storage

Aliquot and store the NDRG2 antibody at -20oC.

Cross
Bulk Quote Request Form
Name*:
Organization*:
Email*:
Phone Number*:
Catalog No.*:
Comments and Specifics(amount, formulation, etc.)*:
Validation code: Captchapackage Image


Can't read the image? click here to refresh.
    *required field

Your bulk quote request has been submitted successfully!

Please contact us if you have any questions.