• Tel: 858.663.9055
  • SeparatorEmail: info@nsjbio.com
  • Tel: 858.663.9055
  • Email: info@nsjbio.com
Home >> Antibodies >> NBS1 Antibody / NBN

NBS1 Antibody / NBN [clone COF-14] (RQ4767)

  Catalog No Formulation Size Price (USD)  
Image RQ4767 Antibody in PBS with 0.02% sodium azide, 50% glycerol and 0.4-0.5mg/ml BSA 100 ul 449
Microvalidated Rab Mono Image
Bulk quote request
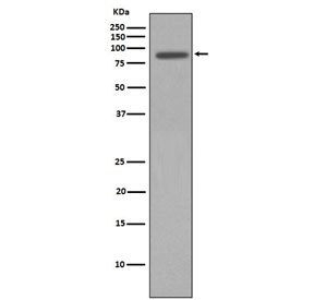
Western blot testing of human HeLa cell lysate with NBS1 antibody. Predicted molecular weight ~95 kDa.
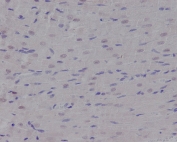
IHC staining of FFPE rat heart tissue with NBS1 antibody. HIER: boil tissue sections in pH6, 10mM citrate buffer, for 10-20 min and allow to cool before testing.
Availability 1-2 weeks
Species Reactivity Human, Rat
Format Purified
Host Rabbit
Clonality Rabbit Monoclonal
Isotype Rabbit IgG
Clone Name COF-14
Purity Affinity purified
UniProt O60934
Localization Nuclear
Applications Western Blot : 1:1000-1:2000
Immunohistochemistry (FFPE) : 1:50-1:200
Limitations This NBS1 antibody is available for research use only.
Review this product on BioCompare and get a $20 Amazon gift card

Related Products

Description

Nijmegen breakage syndrome protein 1 (NBS1) is a component of the MRE11-RAD50-NBN (MRN complex) which plays a critical role in the cellular response to DNA damage and the maintenance of chromosome integrity. The complex is involved in double-strand break (DSB) repair, DNA recombination, maintenance of telomere integrity, cell cycle checkpoint control and meiosis. [UniProt]

Application Notes

Optimal dilution of the NBS1 antibody should be determined by the researcher.

Immunogen

A synthetic peptide specific to human NBS1 / NBN was used as the immunogen for the NBS1 antibody.

Storage

Store the NBS1 antibody at -20oC.

Cross
Bulk Quote Request Form
Name*:
Organization*:
Email*:
Phone Number*:
Catalog No.*:
Comments and Specifics(amount, formulation, etc.)*:
Validation code: Captchapackage Image


Can't read the image? click here to refresh.
    *required field

Your bulk quote request has been submitted successfully!

Please contact us if you have any questions.