• Tel: 858.663.9055
  • SeparatorEmail: info@nsjbio.com
  • Tel: 858.663.9055
  • Email: info@nsjbio.com
Home >> Antibodies >> NAT2 Antibody / Arylamine N-acetyltransferase 2

NAT2 Antibody / Arylamine N-acetyltransferase 2 (F54905)

  Catalog No Formulation Size Price (USD)  
Image F54905-0.4ML In 1X PBS, pH 7.4, with 0.09% sodium azide 0.4 ml 439
Image
F54905-0.08ML In 1X PBS, pH 7.4, with 0.09% sodium azide 0.08 ml 205
Bulk quote request
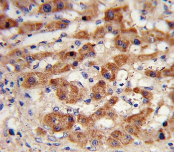
IHC testing of FFPE human hepatocellular carcinoma tissue with NAT antibody. HIER: steam section in pH6 citrate buffer for 20 min and allow to cool prior to staining.
Western blot testing of mouse kidney tissue lysate with NAT2 antibody. Predicted molecular weight ~33 kDa.
Western blot testing of 1) non-transfected and 2) transfected 293 cell lysate with NAT2 antibody.
Flow cytometry testing of human HepG2 cells with NAT2 antibody; Blue=isotype control, Green= NAT2 antibody.
Availability 1-3 business days
Species Reactivity Human, Mouse
Format Purified
Host Rabbit
Clonality Polyclonal (rabbit origin)
Isotype Rabbit Ig
Purity Antigen affinity purified
UniProt P11245
Localization Cytoplasmic
Applications Flow Cytometry : 1:10-1:50(1x10e6 cells)
Immunohistochemistry (FFPE) : 1:10-1:50
Western Blot : 1:500-1:1000
Limitations This NAT2 antibody is available for research use only.
Review this product on BioCompare and get a $20 Amazon gift card

Description

NAT2 is an enzyme that functions to both activate and deactivate arylamine and hydrazine drugs and carcinogens.

Application Notes

The stated application concentrations are suggested starting points. Titration of the NAT2 antibody may be required due to differences in protocols and secondary/substrate sensitivity.

Immunogen

A portion of amino acids 226-254 from the human protein was used as the immunogen for the NAT2 antibody.

Storage

Aliquot the NAT2 antibody and store frozen at -20oC or colder. Avoid repeated freeze-thaw cycles.

Cross
Bulk Quote Request Form
Name*:
Organization*:
Email*:
Phone Number*:
Catalog No.*:
Comments and Specifics(amount, formulation, etc.)*:
Validation code: Captchapackage Image


Can't read the image? click here to refresh.
    *required field

Your bulk quote request has been submitted successfully!

Please contact us if you have any questions.