- Tel: 858.663.9055
- 
									 Email: info@nsjbio.com Email: info@nsjbio.com
- Tel: 858.663.9055
- Email: info@nsjbio.com
 Email: info@nsjbio.com
Email: info@nsjbio.com
								Related Products
| 
 | 
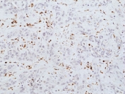
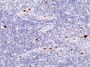
This antibody reacts to human to MPO/Myeloperoxidase.
The stated application concentrations are suggested starting points. Titration of the recombinant Myeloperoxidase antibody may be required due to differences in protocols and secondary/substrate sensitivity.
A peptide corresponding to the internal region of light chain on Myeloperoxidase/MPO was used as the immunogen for the recombinant Myeloperoxidase antibody.
Store the recombinant Myeloperoxidase antibody at -20oC.
 
Your bulk quote request has been submitted successfully!
Please contact us if you have any questions.