• Tel: 858.663.9055
  • SeparatorEmail: info@nsjbio.com
  • Tel: 858.663.9055
  • Email: info@nsjbio.com
Home >> Antibodies >> MYBPHL Antibody

MYBPHL Antibody (F54617)

  Catalog No Formulation Size Price (USD)  
Image F54617-0.4ML In 1X PBS, pH 7.4, with 0.09% sodium azide 0.4 ml 439
Image
F54617-0.08ML In 1X PBS, pH 7.4, with 0.09% sodium azide 0.08 ml 205
Bulk quote request
Western blot testing of human A549 cell lysate with MYBPHL antibody. Predicted molecular weight ~38 kDa.
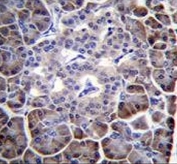
IHC testing of FFPE human pancreas tissue with MYBPHL antibody. HIER: steam section in pH6 citrate buffer for 20 min and allow to cool prior to staining.
Immunofluorescent staining of human A549 cells with MYBPHL antibody (green) and DAPI nuclear stain (blue).
Flow cytometry testing of human A549 cells with MYBPHL antibody; Blue=isotype control, Green= MYBPHL antibody.
Availability 1-3 business days
Species Reactivity Human
Format Purified
Host Rabbit
Clonality Polyclonal (rabbit origin)
Isotype Rabbit Ig
Purity Antigen affinity purified
UniProt A2RUH7
Localization Cytoplasmic
Applications Flow Cytometry : 1:25 (1x10e6 cells)
Immunofluorescence : 1:25
Immunohistochemistry (FFPE) : 1:25
Western Blot : 1:500-1:2000
Limitations This MYBPHL antibody is available for research use only.
Review this product on BioCompare and get a $20 Amazon gift card

Description

Myosin-binding protein which plays a role in cardiac function. [UniProt]

Application Notes

The stated application concentrations are suggested starting points. Titration of the MYBPHL antibody may be required due to differences in protocols and secondary/substrate sensitivity.

Immunogen

A portion of amino acids 80-108 from the human protein was used as the immunogen for the MYBPHL antibody.

Storage

Aliquot the MYBPHL antibody and store frozen at -20oC or colder. Avoid repeated freeze-thaw cycles.

Cross
Bulk Quote Request Form
Name*:
Organization*:
Email*:
Phone Number*:
Catalog No.*:
Comments and Specifics(amount, formulation, etc.)*:
Validation code: Captchapackage Image


Can't read the image? click here to refresh.
    *required field

Your bulk quote request has been submitted successfully!

Please contact us if you have any questions.