• Tel: 858.663.9055
  • SeparatorEmail: info@nsjbio.com
  • Tel: 858.663.9055
  • Email: info@nsjbio.com
Home >> Antibodies >> Mucin-1 Antibody

Mucin-1 Antibody [clone SPM533] (V9048)

  Catalog No Formulation Size Price (USD)  
Image V9048-100UG 0.2 mg/ml in 1X PBS with 0.1 mg/ml BSA (US sourced) and 0.05% sodium azide 100 ug 559
Image
V9048-20UG 0.2 mg/ml in 1X PBS with 0.1 mg/ml BSA (US sourced) and 0.05% sodium azide 20 ug 259
Image
V9048SAF-100UG 1 mg/ml in 1X PBS; BSA free, sodium azide free 100 ug 559
Image
V9048IHC-7ML Prediluted in 1X PBS with 0.1 mg/ml BSA (US sourced) and 0.05% sodium azide; *For IHC use only* 7 ml 559
Bulk quote request
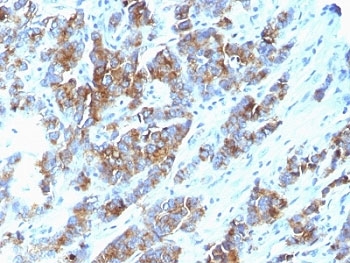
IHC: Formalin-fixed, paraffin-embedded human breast carcinoma stained with Mucin-1 antibody (clone SPM533).
Availability 1-3 business days
Species Reactivity Human
Format Purified
Host Mouse
Clonality Monoclonal (mouse origin)
Isotype Mouse IgG2a, lambda
Clone Name SPM533
Purity Protein G affinity chromatography
UniProt P15941
Localization Cytoplasmic & cell surface
Applications Immunohistochemistry (FFPE) : 1-2ug/ml for 30 min at RT
Limitations This Mucin-1 antibody is available for research use only.
Review this product on BioCompare and get a $20 Amazon gift card

Related Products

Description

Mucin-1 is a 265-400kDa glycoprotein. This protein is proteolytically cleaved into alpha and beta subunits that form a heterodimeric complex. The N-terminal alpha subunit and the C-terminal beta subunit. . The alpha subunit has cell adhesive properties. It can act both as an adhesion and an anti-adhesion protein. MUC1 may provide a protective layer on epithelial cells against bacterial and enzyme attack. The beta subunit contains a C-terminal domain, which is involved in cell signaling, through phosphorylations and protein-protein interactions.

Application Notes

The optimal dilution of the Mucin-1 antibody for each application should be determined by the researcher.

1. Staining of formalin-fixed tissues requires boiling tissue sections in pH 9 10mM Tris with 1mM EDTA for 10-20 min followed by cooling at RT for 20 minutes.
2. The prediluted format is supplied in a dropper bottle and is optimized for use in IHC. After epitope retrieval step (if required), drip mAb solution onto the tissue section and incubate at RT for 30 min.

Immunogen

Delipidated extract of human milk fat globule membranes was used as the immunogen for this Mucin-1 antibody.

Storage

Store the Mucin-1 antibody at 2-8oC (with azide) or aliquot and store at -20oC or colder (without azide).

Cross
Bulk Quote Request Form
Name*:
Organization*:
Email*:
Phone Number*:
Catalog No.*:
Comments and Specifics(amount, formulation, etc.)*:
Validation code: Captchapackage Image


Can't read the image? click here to refresh.
    *required field

Your bulk quote request has been submitted successfully!

Please contact us if you have any questions.