• Tel: 858.663.9055
  • SeparatorEmail: info@nsjbio.com
  • Tel: 858.663.9055
  • Email: info@nsjbio.com
Home >> Antibodies >> MTMR9 Antibody / Myotubularin-related protein 9

MTMR9 Antibody / Myotubularin-related protein 9 (F54887)

  Catalog No Formulation Size Price (USD)  
Image F54887-0.4ML In 1X PBS, pH 7.4, with 0.09% sodium azide 0.4 ml 439
Image
F54887-0.08ML In 1X PBS, pH 7.4, with 0.09% sodium azide 0.08 ml 205
Bulk quote request
Western blot testing of human K562 cell lysate with MTMR9 antibody. Predicted molecular weight ~63 kDa.
Western blot testing of mouse heart tissue lysate with MTMR9 antibody. Predicted molecular weight ~63 kDa.
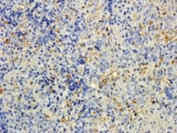
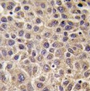
IHC testing of FFPE human hepatocellular carcinoma tissue with MTMR9 antibody. HIER: steam section in pH6 citrate buffer for 20 min and allow to cool prior to staining.
Availability 1-3 business days
Species Reactivity Human, Mouse
Format Purified
Host Rabbit
Clonality Polyclonal (rabbit origin)
Isotype Rabbit Ig
Purity Purified
UniProt Q96QG7
Localization Cytoplasmic
Applications Immunohistochemistry (FFPE) : 1:10-1:50
Western Blot : 1:500-1:1000
Limitations This MTMR9 antibody is available for research use only.
Review this product on BioCompare and get a $20 Amazon gift card

Related Products

Description

Myotubularin-related protein 9 1cts as an adapter for myotubularin-related phosphatases. [UniProt]

Application Notes

The stated application concentrations are suggested starting points. Titration of the MTMR9 antibody may be required due to differences in protocols and secondary/substrate sensitivity.

Immunogen

A portion of amino acids 518-549 from the human protein was used as the immunogen for the MTMR9 antibody .

Storage

Aliquot the MTMR9 antibody and store frozen at -20oC or colder. Avoid repeated freeze-thaw cycles.

Cross
Bulk Quote Request Form
Name*:
Organization*:
Email*:
Phone Number*:
Catalog No.*:
Comments and Specifics(amount, formulation, etc.)*:
Validation code: Captchapackage Image


Can't read the image? click here to refresh.
    *required field

Your bulk quote request has been submitted successfully!

Please contact us if you have any questions.