• Tel: 858.663.9055
  • SeparatorEmail: info@nsjbio.com
  • Tel: 858.663.9055
  • Email: info@nsjbio.com
Home >> Antibodies >> MTAP Antibody / Microarray Specificity Validated Antibody

MTAP Antibody / Microarray Specificity Validated Antibody [clone MTAP/1813] (V3868)

  Catalog No Formulation Size Price (USD)  
Image V3868-100UG 0.2 mg/ml in 1X PBS with 0.1 mg/ml BSA (US sourced) and 0.05% sodium azide 100 ug 559
Image
V3868-20UG 0.2 mg/ml in 1X PBS with 0.1 mg/ml BSA (US sourced) and 0.05% sodium azide 20 ug 259
Image
V3868SAF-100UG 1 mg/ml in 1X PBS; BSA free, sodium azide free 100 ug 559
Microvalidated
Bulk quote request
MTAP Antibody A431 WB. Western blot analysis of human A431 cell lysate using MTAP Antibody (clone MTAP/1813) detects a band at approximately 26-38 kDa, consistent with the predicted molecular weight of Methylthioadenosine phosphorylase (MTAP) and reflecting the presence of multiple isoforms of this metabolic enzyme.
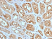
MTAP Antibody Human Kidney IHC. Immunohistochemistry analysis of FFPE human kidney tissue using MTAP Antibody (clone MTAP/1813) demonstrates HRP-DAB brown cytoplasmic staining in tubular epithelial cells, consistent with Methylthioadenosine phosphorylase (MTAP) expression as a metabolic enzyme involved in intracellular nucleotide and methionine salvage pathways, while glomerular structures show lower signal; nuclei are counterstained blue. HIER: steam sections in pH 6 citrate buffer for 20 min and allow to cool prior to staining.
MTAP Antibody Microarray Specificity Validation. Analysis of HuProt(TM) microarray containing more than 19,000 full-length human proteins using MTAP Antibody (clone MTAP/1813) demonstrates highly specific detection of Methylthioadenosine phosphorylase (MTAP), a metabolic enzyme involved in the methionine salvage pathway. The antibody shows a dominant signal for MTAP with clear separation from all other proteins on the array, supporting strong target specificity of clone MTAP/1813. Z- and S-score: The Z-score represents the strength of signal generated when the antibody binds to a protein on the array, expressed as standard deviations above the mean signal, while the S-score reflects the difference between sequential Z-scores and indicates relative specificity compared to potential off-target interactions.
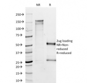
SDS-PAGE analysis of purified, BSA-free MTAP antibody (clone MTAP/1813) as confirmation of integrity and purity.
MTAP Antibody Multi-Cell Line WB. Western blot analysis of human HeLa, A431, HepG2, and HAP-1 cell lysates using MTAP Antibody (clone MTAP/1813) detects a band at approximately 26-38 kDa, consistent with the predicted molecular weight of Methylthioadenosine phosphorylase (MTAP) and reflecting the presence of multiple isoforms of this metabolic enzyme across diverse human cell lines.
Availability 1-3 business days
Species Reactivity Human
Format Purified
Host Mouse
Clonality Monoclonal (mouse origin)
Isotype Mouse IgG2b, kappa
Clone Name MTAP/1813
Purity Protein G affinity chromatography
UniProt Q13126
Localization Cytoplasmic
Applications ELISA : 2-4ug/ml (order BSA/azide-free format)
Western Blot : 1-2ug/ml
Immunohistochemistry (FFPE) : 1-2ug/ml for 30 min at RT
Limitations This MTAP Antibody / Microarray Specificity Validated Antibody is available for research use only.
Review this product on BioCompare and get a $20 Amazon gift card

Related Products

Description

Methylthioadenosine phosphorylase (MTAP) is a cytosolic enzyme encoded by the MTAP gene that plays a central role in the methionine salvage pathway by catalyzing the phosphorolysis of 5'-methylthioadenosine. MTAP Antibody / Microarray Specificity Validated Antibody (clone MTAP/1813) targets this protein, which is primarily localized in the cytoplasm of cells across a wide range of tissues. MTAP antibody, also referred to as Methylthioadenosine phosphorylase antibody in the literature, detects a key metabolic enzyme involved in nucleotide metabolism and cellular homeostasis. For knockdown-validated detection of MTAP as a metabolic marker, see our MTAP antibody.

Functionally, MTAP is essential for recycling methylthioadenosine generated during polyamine synthesis, thereby contributing to the maintenance of methionine and adenine pools within the cell. This enzymatic activity supports cellular metabolism, proliferation, and survival. Loss of MTAP function disrupts the methionine salvage pathway and is frequently associated with metabolic vulnerabilities in cancer cells. MTAP deficiency has been linked to altered purine metabolism and increased sensitivity to targeted metabolic therapies, making it an important biomarker in oncology research.

MTAP expression is widely observed in normal tissues, with cytoplasmic localization reflecting its enzymatic role in intracellular metabolic pathways. In cancer, MTAP is commonly deleted or downregulated due to its genomic proximity to the CDKN2A tumor suppressor locus. This co-deletion results in loss of MTAP expression in a variety of tumor types, including glioblastoma, pancreatic cancer, and lung cancer. As a result, MTAP immunodetection is frequently used to assess tumor status and metabolic alterations associated with gene loss.

Structurally, MTAP functions as a homotrimeric enzyme that catalyzes the conversion of methylthioadenosine to adenine and methylthioribose-1-phosphate. This reaction is a key step in maintaining cellular methylation capacity and nucleotide balance. MTAP activity is tightly linked to cellular metabolic regulation and may influence pathways involved in epigenetic modification and cell growth.

Protein microarray validation demonstrates highly specific binding of this antibody to MTAP with minimal off-target interaction, supporting reliable detection of the intended target in complex protein mixtures. This level of specificity is particularly important in studies requiring accurate discrimination of MTAP expression, including comparative analysis of tumor versus normal tissues and validation of metabolic biomarkers.

Altered MTAP expression is associated with tumor progression, metabolic reprogramming, and therapeutic response in cancer. MTAP-deficient tumors exhibit distinct metabolic dependencies that are being actively explored for targeted treatment strategies. In addition to oncology, MTAP function is relevant to broader studies of cellular metabolism and nucleotide regulation.

This antibody provides highly specific detection of MTAP supported by protein microarray validation, making it suitable for research applications requiring precise identification of this metabolic enzyme. An MTAP antibody is suitable for detecting this intracellular protein in studies of metabolism, cancer biology, and enzyme function. It is part of a collection of Human Protein Microarray validated antibodies that have been screened for specificity across thousands of proteins.

Application Notes

Optimal dilution of the MTAP Antibody / Microarray Specificity Validated Antibody should be determined by the researcher.

Immunogen

A portion of amino acids 97-196 from the human protein was used as the immunogen for the MTAP antibody.

Storage

Store the MTAP antibody at 2-8oC (with azide) or aliquot and store at -20oC or colder (without azide).

Alternate Names

MTAP antibody, Methylthioadenosine phosphorylase antibody, MTAP specificity antibody, MTAP microarray antibody, MTAP metabolic enzyme antibody

Cross
Bulk Quote Request Form
Name*:
Organization*:
Email*:
Phone Number*:
Catalog No.*:
Comments and Specifics(amount, formulation, etc.)*:
Validation code: Captchapackage Image


Can't read the image? click here to refresh.
    *required field

Your bulk quote request has been submitted successfully!

Please contact us if you have any questions.