• Tel: 858.663.9055
  • SeparatorEmail: info@nsjbio.com
  • Tel: 858.663.9055
  • Email: info@nsjbio.com
Home >> Antibodies >> MPS1 Antibody

MPS1 Antibody (R35054)

  Catalog No Formulation Size Price (USD)  
Image R35054-100UG 0.5 mg/ml in 1X TBS, pH7.3, with 0.5% BSA (US sourced) and 0.02% sodium azide 100 ug 475
Bulk quote request
Western blot testing of Jurkat lysate with MPS1 antibody at 0.03ug/ml. Predicted molecular weight: ~10 kDa.
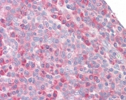
IHC testing of FFPE human tonsil tissue with MPS1 antibody at 3.75ug/ml. Required HIER: steamed antigen retrieval with pH6 citrate buffer; AP-staining.
Availability 1-3 business days
Species Reactivity Human
Predicted Reactivity Mouse, Rat
Format Antigen affinity purified
Host Goat
Clonality Polyclonal (goat origin)
Isotype Goat Ig
Purity Antigen affinity
Gene ID 6232
Localization Cytoplasmic, nuclear
Applications Western Blot : 0.03-0.1ug/ml
IHC (FFPE) : 3.75ug/ml
ELISA (peptide) LOD : 1:128000
Limitations This MPS1 antibody is available for research use only.
Review this product on BioCompare and get a $20 Amazon gift card

Related Products

Description

Additional name(s) for this target protein: Metallopanstimulin 1, RPS27, Ribosomal protein S27; RPS27

Application Notes

Optimal dilution of the MPS1 antibody should be determined by the researcher.

Immunogen

Amino acids PLAKDLLHPSPEE were used as the immunogen for this MPS1 antibody.

Storage

Aliquot and store the MPS1 antibody at -20oC.

Cross
Bulk Quote Request Form
Name*:
Organization*:
Email*:
Phone Number*:
Catalog No.*:
Comments and Specifics(amount, formulation, etc.)*:
Validation code: Captchapackage Image


Can't read the image? click here to refresh.
    *required field

Your bulk quote request has been submitted successfully!

Please contact us if you have any questions.