• Tel: 858.663.9055
  • SeparatorEmail: info@nsjbio.com
  • Tel: 858.663.9055
  • Email: info@nsjbio.com
Home >> Antibodies >> MOX-1 Antibody / MEOX1

MOX-1 Antibody / MEOX1 (F54693)

  Catalog No Formulation Size Price (USD)  
Image F54693-0.4ML In 1X PBS, pH 7.4, with 0.09% sodium azide 0.4 ml 439
Image
F54693-0.08ML In 1X PBS, pH 7.4, with 0.09% sodium azide 0.08 ml 205
Bulk quote request
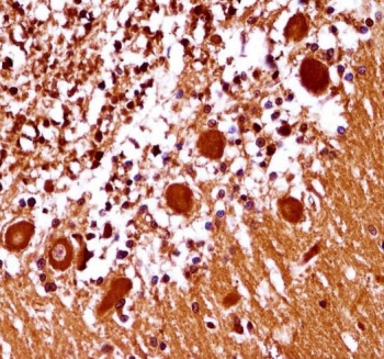
IHC testing of FFPE human cerebellum tissue with MOX-1 antibody. HIER: steam section in pH6 citrate buffer for 20 min and allow to cool prior to staining.
Western blot testing of human HepG2 cell lysate with MOX-1 antibody. Predicted molecular weight ~28 kDa.
Western blot testing of human Jurkat cell lysate with MOX-1 antibody. Predicted molecular weight ~28 kDa.
Western blot testing of 1) non-transfected and 2) transfected 293 cell lysate with MOX-1 antibody. Predicted molecular weight ~28 kDa.
Availability 1-3 business days
Species Reactivity Human
Format Purified
Host Rabbit
Clonality Polyclonal (rabbit origin)
Isotype Rabbit Ig
Purity Antigen affinity purified
UniProt P50221
Localization Cytoplasmic, nuclear
Applications Western Blot : 1:500-1:2000
Immunohistochemistry (FFPE) : 1:25
Limitations This MOX-1 antibody is available for research use only.
Review this product on BioCompare and get a $20 Amazon gift card

Description

This gene encodes a member of a subfamily of non-clustered, diverged, antennapedia-like homeobox-containing genes. The encoded protein may play a role in the molecular signaling network regulating somite development. Alternatively spliced transcript variants encoding different isoforms have been described.

Application Notes

The stated application concentrations are suggested starting points. Titration of the MOX-1 antibody may be required due to differences in protocols and secondary/substrate sensitivity.

Immunogen

A portion of amino acids 136-165 from the human protein was used as the immunogen for the MOX-1 antibody.

Storage

Aliquot the MOX-1 antibody and store frozen at -20oC or colder. Avoid repeated freeze-thaw cycles.

Cross
Bulk Quote Request Form
Name*:
Organization*:
Email*:
Phone Number*:
Catalog No.*:
Comments and Specifics(amount, formulation, etc.)*:
Validation code: Captchapackage Image


Can't read the image? click here to refresh.
    *required field

Your bulk quote request has been submitted successfully!

Please contact us if you have any questions.