• Tel: 858.663.9055
  • SeparatorEmail: info@nsjbio.com
  • Tel: 858.663.9055
  • Email: info@nsjbio.com
Home >> Antibodies >> MON1A Antibody

MON1A Antibody (R34211)

  Catalog No Formulation Size Price (USD)  
Image R34211-100UG 0.5 mg/ml in 1X TBS, pH7.3, with 0.5% BSA (US sourced) and 0.02% sodium azide 100 ug 475
Bulk quote request
Western blot testing of human pancreas lysate with MON1A antibody at 1ug/ml. Predicted molecular weight: ~55kDa.
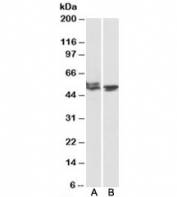
Western blot of mouse (A) and rat (B) testis lysates with MON1A antibody at 1ug/ml. Predicted molecular weight: ~55kDa.
Availability 1-3 business days
Species Reactivity Human, Mouse, Rat
Predicted Reactivity Cow, Dog
Format Antigen affinity purified
Host Goat
Clonality Polyclonal (goat origin)
Isotype Goat Ig
Purity Antigen affinity
Gene ID 84315
Applications Western Blot : 1-3ug/ml
ELISA (peptide) LOD : 1:128000
Limitations This MON1A antibody is available for research use only.
Review this product on BioCompare and get a $20 Amazon gift card

Related Products

  • Applications : WB, ELISA (peptide)
    Reactivity : Human
    Pred. Reactivity : Cow, Dog, Mouse, Rat

Description

Additional name(s) for this target protein: MON1 homolog A

Application Notes

Optimal dilution of the MON1A antibody should be determined by the researcher.

1. This MON1A antibody will detect isoforms a and b of the protein.

Immunogen

Amino acids HISYLEPDTDLC were used as the immunogen for this MON1A antibody.

Storage

Aliquot and store the MON1A antibody at -20oC.

Cross
Bulk Quote Request Form
Name*:
Organization*:
Email*:
Phone Number*:
Catalog No.*:
Comments and Specifics(amount, formulation, etc.)*:
Validation code: Captchapackage Image


Can't read the image? click here to refresh.
    *required field

Your bulk quote request has been submitted successfully!

Please contact us if you have any questions.