• Tel: 858.663.9055
  • SeparatorEmail: info@nsjbio.com
  • Tel: 858.663.9055
  • Email: info@nsjbio.com
Home >> Antibodies >> MMP2 Antibody

MMP2 Antibody [clone 6E3F8] (F54520)

  Catalog No Formulation Size Price (USD)  
Image F54520-0.4ML In 1X PBS, pH 7.4, with 0.09% sodium azide 0.4 ml 439
Image
F54520-0.08ML In 1X PBS, pH 7.4, with 0.09% sodium azide 0.08 ml 205
Bulk quote request
Western blot testing of human T-47D cell lysate with MMP2 antibody. Predicted molecular weight ~72 kDa.
IHC testing of FFPE human prostate carcinoma tissue with MMP2 antibody. HIER: steam section in pH6 citrate buffer for 20 min and allow to cool prior to staining.
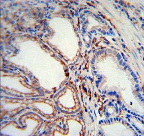
IHC testing of FFPE human gastric carcinoma tissue with MMP2 antibody. HIER: steam section in pH6 citrate buffer for 20 min and allow to cool prior to staining.
Immunofluorescent staining of human MCF7 cells with MMP2 antibody (green) and DAPI nuclear stain (blue).
Availability 1-3 business days
Species Reactivity Human
Format Purified
Host Mouse
Clonality Monoclonal (mouse origin)
Isotype IgG2b, kappa
Clone Name 6E3F8
Purity Protein G affinity
UniProt P08253
Applications Western Blot : 1:500-1:2000
Immunohistochemistry (FFPE) : 1:25
Immunofluorescence : 1:25
Limitations This MMP2 antibody is available for research use only.
Review this product on BioCompare and get a $20 Amazon gift card

Related Products

  • Applications : WB, IHC, ELISA
    Reactivity : Human
  • Applications : WB
    Reactivity : Human
  • Applications : WB, ICC/IF
    Reactivity : Human, Rat
  • Applications : WB
    Reactivity : Human, Rat
    Rab Mono Image
  • Applications : IHC-P, WB
    Reactivity : Human, Rat
    Rab Mono Image
  • Applications : IHC-P
    Reactivity : Human
  • Applications : IHC-P
    Reactivity : Human
  • Applications : WB, ELISA
    Reactivity : Human
    Pred. Reactivity : Mouse, Rat, Chicken, Rabbit
  • Applications : WB, ELISA
    Reactivity : Human, Mouse, Rat
  • Applications : WB, IHC-P, FACS, Direct ELISA
    Reactivity : Human, Rat
  • Applications : WB, Direct ELISA
    Reactivity : Human

Description

Proteins of the matrix metalloproteinase (MMP) family are involved in the breakdown of extracellular matrix in normal physiological processes, such as embryonic development, reproduction, and tissue remodeling, as well as in disease processes, such as arthritis and metastasis. Most MMP's are secreted as inactive proproteins which are activated when cleaved by extracellular proteinases. This gene encodes an enzyme which degrades type IV collagen, the major structural component of basement membranes. The enzyme plays a role in endometrial menstrual breakdown, regulation of vascularization and the inflammatory response. Mutations in this gene have been associated with Winchester syndrome and Nodulosis-Arthropathy-Osteolysis (NAO) syndrome. Two transcript variants encoding different isoforms have been found for this gene.

Application Notes

The stated application concentrations are suggested starting points. Titration of the MMP2 antibody may be required due to differences in protocols and secondary/substrate sensitivity.

Immunogen

Recombinant human protein was used as the immunogen for the MMP2 antibody.

Storage

Aliquot the MMP2 antibody and store frozen at -20oC or colder. Avoid repeated freeze-thaw cycles.

Cross
Bulk Quote Request Form
Name*:
Organization*:
Email*:
Phone Number*:
Catalog No.*:
Comments and Specifics(amount, formulation, etc.)*:
Validation code: Captchapackage Image


Can't read the image? click here to refresh.
    *required field

Your bulk quote request has been submitted successfully!

Please contact us if you have any questions.