• Tel: 858.663.9055
  • SeparatorEmail: info@nsjbio.com
  • Tel: 858.663.9055
  • Email: info@nsjbio.com
Home >> Antibodies >> Migfilin-1 Antibody / FBLIM1 / Filamin B

Migfilin-1 Antibody / FBLIM1 / Filamin B [clone FBLIM1/8189R] (V4348)

  Catalog No Formulation Size Price (USD)  
Image V4348-100UG 0.2 mg/ml in 1X PBS with 0.1 mg/ml BSA (US sourced), 0.05% sodium azide 100 ug 559
Image
V4348-20UG 0.2 mg/ml in 1X PBS with 0.1 mg/ml BSA (US sourced), 0.05% sodium azide 20 ug 259
Image
V4348SAF-100UG 1 mg/ml in 1X PBS; BSA free, sodium azide free 100 ug 559
Microvalidated Recrabbitmono
Bulk quote request
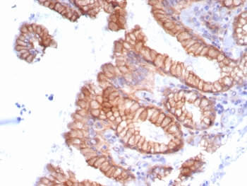
IHC staining of FFPE human stomach tissue with Migfilin-1 antibody (clone FBLIM1/8189R). HIER: boil tissue sections in pH 9 10mM Tris with 1mM EDTA for 20 min and allow to cool before testing.
Availability 1-3 business days
Species Reactivity Human
Format Purified
Host Rabbit
Clonality Recombinant Rabbit Monoclonal
Isotype Rabbit IgG, kappa
Clone Name FBLIM1/8189R
Purity Protein A/G affinity
UniProt Q8WUP2
Localization Cytoplasm
Applications Immunohistochemistry (FFPE) : 1-2ug/ml for 30 minutes at RT
Limitations This Migfilin-1 antibody is available for research use only.
Review this product on BioCompare and get a $20 Amazon gift card

Related Products

Description

FBLIM1 (also known as Filamin B, MIG-2 Interacting Protein and Migfilin) is an important component of cell-extracellular matrix adhesion. Kindlin-2 binds integrins and is involved in ECM adhesion, actin assembly and cell shape modulation.

Application Notes

Optimal dilution of the Migfilin-1 antibody should be determined by the researcher.

Immunogen

Recombinant full-length human protein was used as the immunogen for the Migfilin-1 antibody.

Storage

Aliquot the Migfilin-1 antibody and store frozen at -20oC or colder. Avoid repeated freeze-thaw cycles.

Cross
Bulk Quote Request Form
Name*:
Organization*:
Email*:
Phone Number*:
Catalog No.*:
Comments and Specifics(amount, formulation, etc.)*:
Validation code: Captchapackage Image


Can't read the image? click here to refresh.
    *required field

Your bulk quote request has been submitted successfully!

Please contact us if you have any questions.