• Tel: 858.663.9055
  • SeparatorEmail: info@nsjbio.com
  • Tel: 858.663.9055
  • Email: info@nsjbio.com
Home >> Antibodies >> MID1IP1 Antibody

MID1IP1 Antibody (R34312)

  Catalog No Formulation Size Price (USD)  
Image R34312-100UG 0.5 mg/ml in 1X TBS, pH7.3, with 0.5% BSA (US sourced) and 0.02% sodium azide 100 ug 475
Bulk quote request
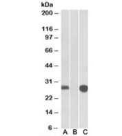
Western blot of HEK293 lysate overexpressing human MID1IP1-MYC probed with MID1IP1 antibody [1ug/ml] in lane A and anti-MYC in lane C. Mock-transfected HEK293 probed with MID1IP1 antibody [1ug/ml] in lane B. Predicted molecular weight: ~20kDa but routinely observed at ~28kDa.
Availability 1-3 business days
Species Reactivity Human
Predicted Reactivity Cow, Dog, Mouse, Rat
Format Antigen affinity purified
Host Goat
Clonality Polyclonal (goat origin)
Isotype Goat Ig
Purity Antigen affinity
Gene ID 58526
Applications Western Blot : 1-3ug/ml
ELISA (peptide) LOD : 1:8000
Limitations This MID1IP1 antibody is available for research use only.
Review this product on BioCompare and get a $20 Amazon gift card

Description

Additional name(s) for this target protein: MID1 interacting protein 1, MID1 interacting G12-like protein, MIG12

Application Notes

Optimal dilution of the MID1IP1 antibody should be determined by the researcher.

Immunogen

Amino acids HTVLSKLTRK were used as the immunogen for this MID1IP1 antibody.

Storage

Aliquot and store the MID1IP1 antibody at -20oC.

Cross
Bulk Quote Request Form
Name*:
Organization*:
Email*:
Phone Number*:
Catalog No.*:
Comments and Specifics(amount, formulation, etc.)*:
Validation code: Captchapackage Image


Can't read the image? click here to refresh.
    *required field

Your bulk quote request has been submitted successfully!

Please contact us if you have any questions.