• Tel: 858.663.9055
  • SeparatorEmail: info@nsjbio.com
  • Tel: 858.663.9055
  • Email: info@nsjbio.com
Home >> Antibodies >> MFSD12 Antibody / Major facilitator superfamily domain-containing protein 12

MFSD12 Antibody / Major facilitator superfamily domain-containing protein 12 (RQ8691)

  Catalog No Formulation Size Price (USD)  
Image RQ8691 0.5mg/ml if reconstituted with 0.2ml sterile DI water 100 ug 449
Bulk quote request
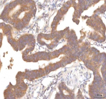
IHC staining of FFPE human colon adenocarcinoma tissue with MFSD12 antibody. HIER: boil tissue sections in pH8 EDTA for 20 min and allow to cool before testing.
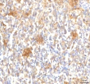
IHC staining of FFPE human testicular seminoma tissue with MFSD12 antibody. HIER: boil tissue sections in pH8 EDTA for 20 min and allow to cool before testing.
Western blot testing of human 1) HeLa, 2) SiHa, 3) A549 and 4) PC-3 cell lysate with MFSD12 antibody. Predicted molecular weight ~52 kDa.
Availability 1-3 days
Species Reactivity Human
Format Antigen affinity purified
Host Rabbit
Clonality Polyclonal (rabbit origin)
Isotype Rabbit IgG
Purity Antigen affinity chromatography
Buffer Lyophilized from 1X PBS with 2% Trehalose
UniProt Q6NUT3
Localization Cytoplasm
Applications Western Blot : 1-2ug/ml
Immunohistochemistry (FFPE) : 2-5ug/ml
ELISA : 0.1-0.5ug/ml
Limitations This MFSD12 antibody is available for research use only.
Review this product on BioCompare and get a $20 Amazon gift card

Description

The major facilitator superfamily consists of presumed carbohydrate transporters with 10-12 membrane-spanning domains. MFSD12 (major facilitator superfamily domain containing 12), also known as PP3501 or C19orf28, is a 480 amino acid multi-pass membrane protein that belongs to the major facilitator superfamily. Existing as two alternatively spliced isoforms, MFSD12 is encoded by a gene that maps to human chromosome 19p13.3. Chromosome 19 consists of over 63 million bases, houses approximately 1,400 genes and is recognized for having the greatest gene density of the human chromosomes. It is the genetic home for a number of immunoglobulin (Ig) superfamily members, including the killer cell and leukocyte Ig-like receptors, a number of ICAMs, the CEACAM and PSG families, and Fc receptors (FcRs).

Application Notes

Optimal dilution of the MFSD12 antibody should be determined by the researcher.

Immunogen

An E.coli-derived human recombinant protein (amino acids Q66-H443) was used as the immunogen for the MFSD12 antibody.

Storage

After reconstitution, the MFSD12 antibody can be stored for up to one month at 4oC. For long-term, aliquot and store at -20oC. Avoid repeated freezing and thawing.

Cross
Bulk Quote Request Form
Name*:
Organization*:
Email*:
Phone Number*:
Catalog No.*:
Comments and Specifics(amount, formulation, etc.)*:
Validation code: Captchapackage Image


Can't read the image? click here to refresh.
    *required field

Your bulk quote request has been submitted successfully!

Please contact us if you have any questions.