• Tel: 858.663.9055
  • SeparatorEmail: info@nsjbio.com
  • Tel: 858.663.9055
  • Email: info@nsjbio.com
Home >> Antibodies >> METAP1D Antibody / Methionine aminopeptidase 1D / MAP1D

METAP1D Antibody / Methionine aminopeptidase 1D / MAP1D (RQ8426)

  Catalog No Formulation Size Price (USD)  
Image RQ8426 0.5mg/ml if reconstituted with 0.2ml sterile DI water 100 ug 449
Bulk quote request
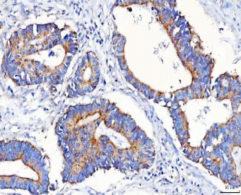
IHC staining of FFPE human colorectal adenocarcinoma tissue with METAP1D antibody. HIER: boil tissue sections in pH8 EDTA for 20 min and allow to cool before testing.
Western blot testing of 1) human HEL, 2) human K562, 3) human 293T, 4) human HepG2, 5) human ThP-1, 6) human HeLa, 7) rat liver, 8) rat RH35 and 9) mouse Neuro-2a cell lysate with METAP1D antibody. Predicted molecular weight ~37 kDa.
Availability 1-3 business days
Species Reactivity Human, Mouse, Rat
Format Antigen affinity purified
Host Rabbit
Clonality Polyclonal (rabbit origin)
Isotype Rabbit IgG
Purity Antigen affinity purified
Buffer Lyophilized from 1X PBS with 2% Trehalose
UniProt Q6UB28
Localization Cytoplasm
Applications Western Blot : 0.5-1ug/ml
Immunohistochemistry (FFPE) : 2-5ug/ml
ELISA : 0.1-0.5ug/ml
Limitations This METAP1D antibody is available for research use only.
Review this product on BioCompare and get a $20 Amazon gift card

Description

The N-terminal methionine excision pathway is an essential process in which the N-terminal methionine is removed from many proteins, thus facilitating subsequent protein modification. In mitochondria, enzymes that catalyze this reaction are celled methionine aminopeptidases.

Application Notes

Optimal dilution of the METAP1D antibody should be determined by the researcher.

Immunogen

An E.coli-derived human recombinant protein (Q36-A335) was used as the immunogen for the METAP1D antibody.

Storage

After reconstitution, the METAP1D antibody can be stored for up to one month at 4oC. For long-term, aliquot and store at -20oC. Avoid repeated freezing and thawing.

Cross
Bulk Quote Request Form
Name*:
Organization*:
Email*:
Phone Number*:
Catalog No.*:
Comments and Specifics(amount, formulation, etc.)*:
Validation code: Captchapackage Image


Can't read the image? click here to refresh.
    *required field

Your bulk quote request has been submitted successfully!

Please contact us if you have any questions.