• Tel: 858.663.9055
  • SeparatorEmail: info@nsjbio.com
  • Tel: 858.663.9055
  • Email: info@nsjbio.com
Home >> Antibodies >> MDM2 Antibody

MDM2 Antibody (R33423)

  Catalog No Formulation Size Price (USD)  
Image R33423-100UG 0.5 mg/ml in 1X TBS, pH7.3, with 0.5% BSA (US sourced) and 0.02% sodium azide 100 ug 475
Bulk quote request
Western blot testing of human liver lysate with MDM2 antibody at 0.3ug/ml. Predicted molecular weight: ~55 kDa but can be observed at up to ~90 kDa.
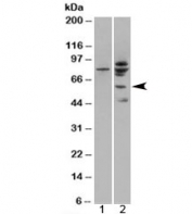
Western blot of HEK293 lysate overexpressing MDM2 probed with MDM2 antibody (mock transfection in lane 1). Predicted molecular weight ~56kDa.
Availability 1-3 business days
Species Reactivity Human
Predicted Reactivity Rat, Dog, Pig, Cat, Cow
Format Antigen affinity purified
Host Goat
Clonality Polyclonal (goat origin)
Isotype Goat Ig
Purity Antigen affinity
Gene ID 4193
Applications Western Blot : 0.3-1ug/ml
ELISA (peptide) LOD : 1:64000
Limitations This MDM2 antibody is available for research use only.
Review this product on BioCompare and get a $20 Amazon gift card

Related Products

Description

Additional name(s) for this target protein: Mouse double minute 2

Application Notes

Optimal dilution of the MDM2 antibody should be determined by the researcher.

Immunogen

Amino acids DELSGERQRKRHKSD were used as the immunogen for this MDM2 antibody.

Storage

Aliquot and store the MDM2 antibody at -20oC.

Cross
Bulk Quote Request Form
Name*:
Organization*:
Email*:
Phone Number*:
Catalog No.*:
Comments and Specifics(amount, formulation, etc.)*:
Validation code: Captchapackage Image


Can't read the image? click here to refresh.
    *required field

Your bulk quote request has been submitted successfully!

Please contact us if you have any questions.