• Tel: 858.663.9055
  • SeparatorEmail: info@nsjbio.com
  • Tel: 858.663.9055
  • Email: info@nsjbio.com
Home >> Antibodies >> MCT5 Antibody / SLC16A4

MCT5 Antibody / SLC16A4 (R31311)

  Catalog No Formulation Size Price (USD)  
Image R31311 0.5mg/ml if reconstituted with 0.2ml sterile DI water 100 ug 449
Bulk quote request
Western blot testing of MCT5 antibody and lysate from 1: rat testis; 2: human Jurkat; 3: (h) HeLa; 4: (h) MCF-7 cells. Predicted molecular weight: ~54 kDa.
IHC-P: MCT5 antibody testing of human breast cancer tissue
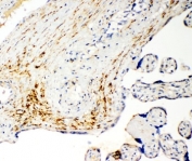
IHC-P: MCT5 antibody testing of human placenta cancer tissue
Availability 1-3 business days
Species Reactivity Human, Mouse, Rat
Format Antigen affinity purified
Host Rabbit
Clonality Polyclonal (rabbit origin)
Isotype Rabbit IgG
Purity Antigen affinity
Buffer Lyophilized from 1X PBS with 2.5% BSA and 0.025% sodium azide/thimerosal
UniProt O15374
Applications Western Blot : 0.5-1ug/ml
IHC (FFPE) : 0.5-1ug/ml
Limitations This MCT5 antibody is available for research use only.
Review this product on BioCompare and get a $20 Amazon gift card

Description

Monocarboxylate transporter 5, also called Solute carrier family 16 member 4 or MCT5, is a protein that in humans is encodes by the SLC16A4 gene. This gene is mapped to 1p13.3. It acts as the proton-linked monocarboxylate transporter. This gene catalyzes the rapid transport across the plasma membrane of many monocarboxylates such as lactate, pyruvate, branched-chain oxo acids derived from leucine, valine and isoleucine, and the ketone bodies acetoacetate, beta-hydroxybutyrate and acetate.

Application Notes

The stated application concentrations are suggested starting amounts. Titration of the MCT5 antibody may be required due to differences in protocols and secondary/substrate sensitivity.

Immunogen

An amino acid sequence from the N-terminus of human Monocarboxylate transporter 5 (VVTTKYFKKRLALST) was used as the immunogen for this MCT5 antibody.

Storage

After reconstitution, the MCT5 antibody can be stored for up to one month at 4oC. For long-term, aliquot and store at -20oC. Avoid repeated freezing and thawing.

Cross
Bulk Quote Request Form
Name*:
Organization*:
Email*:
Phone Number*:
Catalog No.*:
Comments and Specifics(amount, formulation, etc.)*:
Validation code: Captchapackage Image


Can't read the image? click here to refresh.
    *required field

Your bulk quote request has been submitted successfully!

Please contact us if you have any questions.