• Tel: 858.663.9055
  • SeparatorEmail: info@nsjbio.com
  • Tel: 858.663.9055
  • Email: info@nsjbio.com
Home >> Antibodies >> MCPIP1 Antibody / ZC3H12A

MCPIP1 Antibody / ZC3H12A (RQ5787)

  Catalog No Formulation Size Price (USD)  
Image RQ5787 0.5mg/ml if reconstituted with 0.2ml sterile DI water 100 ug 449
Bulk quote request
Immunofluorescent staining of FFPE human HeLa cells with MCPIP1 antibody (green) and DAPI nuclear stain (blue). HIER: steam section in pH6 citrate buffer for 20 min.
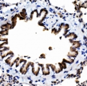
IHC staining of FFPE human lung cancer with MCPIP1 antibody. HIER: boil tissue sections in pH8 EDTA for 20 min and allow to cool before testing.
IHC staining of FFPE rat lung with MCPIP1 antibody. HIER: boil tissue sections in pH8 EDTA for 20 min and allow to cool before testing.
Western blot testing of human 1) K562, 2) Raji, 3) SW620, 4) HeLa, 5) rat spleen, 6) rat kidney, 7) mouse thymus lysate with MCPIP1 antibody. Predicted molecular weight ~66 kDa.
Flow cytometry testing of human U-87 MG cells with MCPIP1 antibody at 1ug/million cells (blocked with goat sera); Red=cells alone, Green=isotype control, Blue= MCPIP1 antibody.
Availability 1-3 business days
Species Reactivity Human, Mouse, Rat
Format Antigen affinity purified
Host Rabbit
Clonality Polyclonal (rabbit origin)
Isotype Rabbit IgG
Purity Affinity purified
Buffer Lyophilized from 1X PBS with 2% Trehalose and 0.025% sodium azide
UniProt Q5D1E8
Applications Western Blot : 0.5-1ug/ml
Immunohistochemistry : 1-2ug/ml
Immunofluorescence : 2-4ug/ml
Flow Cytometry : 1-3ug/million cells
Direct ELISA : 0.1-0.5ug/ml
Limitations This MCPIP1 antibody is available for research use only.
Review this product on BioCompare and get a $20 Amazon gift card

Description

Zinc finger CCCH-type containing 12A is a protein in humans that is encoded by the ZC3H12A gene. ZC3H12A is an MCP1 (CCL2; MIM 158105)-induced protein that acts as a transcriptional activator and causes cell death of cardiomyocytes, possibly via induction of genes associated with apoptosis.

Application Notes

Optimal dilution of the MCPIP1 antibody should be determined by the researcher.

Immunogen

Recombinant human protein (amino acids Q36-T98) was used as the immunogen for the MCPIP1 antibody.

Storage

After reconstitution, the MCPIP1 antibody can be stored for up to one month at 4oC. For long-term, aliquot and store at -20oC. Avoid repeated freezing and thawing.

Cross
Bulk Quote Request Form
Name*:
Organization*:
Email*:
Phone Number*:
Catalog No.*:
Comments and Specifics(amount, formulation, etc.)*:
Validation code: Captchapackage Image


Can't read the image? click here to refresh.
    *required field

Your bulk quote request has been submitted successfully!

Please contact us if you have any questions.