• Tel: 858.663.9055
  • SeparatorEmail: info@nsjbio.com
  • Tel: 858.663.9055
  • Email: info@nsjbio.com
Home >> Antibodies >> Mboat4 Antibody

Mboat4 Antibody (F54646)

  Catalog No Formulation Size Price (USD)  
Image F54646-0.4ML In 1X PBS, pH 7.4, with 0.09% sodium azide 0.4 ml 439
Image
F54646-0.08ML In 1X PBS, pH 7.4, with 0.09% sodium azide 0.08 ml 205
Bulk quote request
Western blot testing of mouse stomach lysate in the absence (1) and presence (2) of immunizing peptide with Mboat4 antibody. Predicted molecular weight ~50 kDa.
Western blot testing of human MCF7 cell lysate with Mboat4 antibody. Predicted molecular weight ~50 kDa.
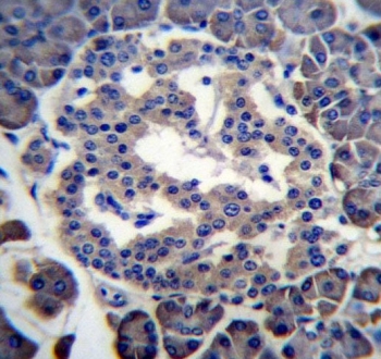
IHC testing of FFPE human pancreas tissue with Mboat4 antibody. HIER: steam section in pH6 citrate buffer for 20 min and allow to cool prior to staining.
Availability 1-3 business days
Species Reactivity Human, Mouse
Format Purified
Host Rabbit
Clonality Polyclonal (rabbit origin)
Isotype Rabbit Ig
Purity Antigen affinity purified
UniProt Q96T53
Localization Cytoplasmic
Applications Western Blot : 1:500-1:2000
Immunohistochemistry (FFPE) : 1:25
Limitations This Mboat4 antibody is available for research use only.
Review this product on BioCompare and get a $20 Amazon gift card

Related Products

  • Applications : WB, ELISA (peptide)
    Reactivity : Human, Mouse
    Pred. Reactivity : Cow, Pig

Description

MBOAT4 mediates the octanoylation of ghrelin at 'Ser-3'. Can use a variety of fatty acids as substrates including octanoic acid, decanoic acid and tetradecanoic acid.

Application Notes

The stated application concentrations are suggested starting points. Titration of the Mboat4 antibody may be required due to differences in protocols and secondary/substrate sensitivity.

Immunogen

A portion of amino acids 258-287 from the human protein was used as the immunogen for the Mboat4 antibody.

Storage

Aliquot the Mboat4 antibody and store frozen at -20oC or colder. Avoid repeated freeze-thaw cycles.

Cross
Bulk Quote Request Form
Name*:
Organization*:
Email*:
Phone Number*:
Catalog No.*:
Comments and Specifics(amount, formulation, etc.)*:
Validation code: Captchapackage Image


Can't read the image? click here to refresh.
    *required field

Your bulk quote request has been submitted successfully!

Please contact us if you have any questions.