• Tel: 858.663.9055
  • SeparatorEmail: info@nsjbio.com
  • Tel: 858.663.9055
  • Email: info@nsjbio.com
Home >> Antibodies >> Map3k7 Antibody / Tak1

Map3k7 Antibody / Tak1 (F54678)

  Catalog No Formulation Size Price (USD)  
Image F54678-0.4ML In 1X PBS, pH 7.4, with 0.09% sodium azide 0.4 ml 439
Image
F54678-0.08ML In 1X PBS, pH 7.4, with 0.09% sodium azide 0.08 ml 205
Bulk quote request
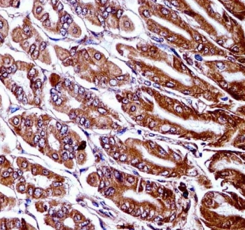
IHC testing of FFPE mouse stomach tissue with Map3k7 antibody. HIER: steam section in pH6 citrate buffer for 20 min and allow to cool prior to staining.
Western blot testing of mouse heart tissue lysate with Map3k7 antibody. Predicted molecular weight: 64-69 kDa, routinely observed at 78-82 kDa.
Western blot testing of 1) non-transfected and 2) transfected 293 cell lysate with Map3k7 antibody. Predicted molecular weight: 64-69 kDa, routinely observed at 78-82 kDa.
Availability 1-3 business days
Species Reactivity Mouse
Format Purified
Host Rabbit
Clonality Polyclonal (rabbit origin)
Isotype Rabbit Ig
Purity Antigen affinity purified
UniProt Q62073
Localization Cytoplasmic, plasma membrane
Applications Immunohistochemistry (FFPE) : 1:25
Western Blot : 1:500-1:2000
Limitations This Map3k7 antibody is available for research use only.
Review this product on BioCompare and get a $20 Amazon gift card

Related Products

  • Applications : IF/ICC, WB
    Reactivity : Human, Mouse
    Rab Mono Image
  • Applications : WB, IHC, ELISA
    Reactivity : Human
    Pred. Reactivity : Bovine, Mouse, Rat
  • Applications : WB (transfected), ELISA (peptide)
    Reactivity : Human
    Pred. Reactivity : Mouse, Rat
  • Applications : WB,IF, FACS
    Reactivity : Human, Mouse, Rat
  • Applications : WB
    Reactivity : Human, Mouse
    Pred. Reactivity : Rat
  • Applications : WB
    Reactivity : Human
    Pred. Reactivity : Rat

Description

Component of a protein kinase signal transduction cascade. Mediator of TRAF6 and TGF-beta signal transduction. Activates IKBKB and MAPK8 in response to TRAF6 signaling. Stimulates NF-kappa-B activation and the p38 MAPK pathway. In osmotic stress signaling, plays a major role in the activation of MAPK8/JNK, but not that of NF-kappa-B.

Application Notes

The stated application concentrations are suggested starting points. Titration of the Map3k7 antibody may be required due to differences in protocols and secondary/substrate sensitivity.

Immunogen

A portion of amino acids 131-160 from the mouse protein was used as the immunogen for the Map3k7 antibody.

Storage

Aliquot the Map3k7 antibody and store frozen at -20oC or colder. Avoid repeated freeze-thaw cycles.

Cross
Bulk Quote Request Form
Name*:
Organization*:
Email*:
Phone Number*:
Catalog No.*:
Comments and Specifics(amount, formulation, etc.)*:
Validation code: Captchapackage Image


Can't read the image? click here to refresh.
    *required field

Your bulk quote request has been submitted successfully!

Please contact us if you have any questions.