• Tel: 858.663.9055
  • SeparatorEmail: info@nsjbio.com
  • Tel: 858.663.9055
  • Email: info@nsjbio.com
Home >> Antibodies >> MAP1S Antibody / Microtubule-associated protein 1S

MAP1S Antibody / Microtubule-associated protein 1S (RQ8558)

  Catalog No Formulation Size Price (USD)  
Image RQ8558 0.5mg/ml if reconstituted with 0.2ml sterile DI water 100 ug 449
Bulk quote request
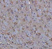
IHC staining of FFPE mouse brain tissue with MAP1S antibody. HIER: boil tissue sections in pH8 EDTA for 20 min and allow to cool before testing.
IHC staining of FFPE rat brain tissue with MAP1S antibody. HIER: boil tissue sections in pH8 EDTA for 20 min and allow to cool before testing.
Western blot testing of human 1) HeLa, 2) RT4 and 3) HepG2 cell lysate with MAP1S antibody. Predicted molecular weight ~112 KDa, commonly observed at 112-150 kDa.
Flow cytometry testing of fixed and permeabilized human PC-3 cells with MAP1S antibody at 1ug/million cells (blocked with goat sera); Red=cells alone, Green=isotype control, Blue= MAP1S antibody.
Availability 1-3 days
Species Reactivity Human, Mouse, Rat
Format Antigen affinity purified
Host Rabbit
Clonality Polyclonal (rabbit origin)
Isotype Rabbit IgG
Purity Antigen affinity purified
Buffer Lyophilized from 1X PBS with 2% Trehalose
UniProt Q66K74
Applications Western Blot : 0.5-1ug/ml
Immunohistochemistry (FFPE) : 2-5ug/ml
Flow Cytometry : 1-3ug/million cells
ELISA : 0.1-0.5ug/ml
Limitations This MAP1S antibody is available for research use only.
Review this product on BioCompare and get a $20 Amazon gift card

Description

Microtubule-associated protein 1S is a protein that in humans is encoded by the MAP1S gene. Enables DNA binding activity and cytoskeletal protein binding activity. Involved in microtubule bundle formation; neuron projection morphogenesis; and regulation of chromatin disassembly. Located in several cellular components, including microtubule cytoskeleton; nuclear lumen; and perinuclear region of cytoplasm.

Application Notes

Optimal dilution of the MAP1S antibody should be determined by the researcher.

Immunogen

An E.coli-derived human recombinant protein (amino acids D45-H1021) was used as the immunogen for the MAP1S antibody.

Storage

After reconstitution, the MAP1S antibody can be stored for up to one month at 4oC. For long-term, aliquot and store at -20oC. Avoid repeated freezing and thawing.

Cross
Bulk Quote Request Form
Name*:
Organization*:
Email*:
Phone Number*:
Catalog No.*:
Comments and Specifics(amount, formulation, etc.)*:
Validation code: Captchapackage Image


Can't read the image? click here to refresh.
    *required field

Your bulk quote request has been submitted successfully!

Please contact us if you have any questions.