• Tel: 858.663.9055
  • SeparatorEmail: info@nsjbio.com
  • Tel: 858.663.9055
  • Email: info@nsjbio.com
Home >> Antibodies >> MAN2A1 Antibody

MAN2A1 Antibody (R34486)

  Catalog No Formulation Size Price (USD)  
Image R34486-100UG 0.5 mg/ml in 1X TBS, pH7.3, with 0.5% BSA (US sourced) and 0.02% sodium azide 100 ug 475
Bulk quote request
Western blot testing of human placenta lysate with MAN2A1 antibody at 0.3ug/ml. Predicted molecular weight: ~131kDa.
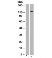
Western blot of HEK293 lysate overexpressing Man2A1 probed with MAN2A1 antibody (mock transfection in lane 1). Predicted molecular weight: ~131kDa.
Availability 1-3 business days
Species Reactivity Human
Format Antigen affinity purified
Host Goat
Clonality Polyclonal (goat origin)
Isotype Goat Ig
Purity Antigen affinity
Gene ID 4124
Applications Western Blot : 0.3-1ug/ml
ELISA (peptide) LOD : 1:16000
Limitations This MAN2A1 antibody is available for research use only.
Review this product on BioCompare and get a $20 Amazon gift card

Description

Additional name(s) for this target protein: Mannosidase, alpha, class 2A, member 1

Application Notes

Optimal dilution of the MAN2A1 antibody should be determined by the researcher.

Immunogen

Amino acids KISSDIKSQNR were used as the immunogen for this MAN2A1 antibody.

Storage

Aliquot and store the MAN2A1 antibody at -20oC.

Cross
Bulk Quote Request Form
Name*:
Organization*:
Email*:
Phone Number*:
Catalog No.*:
Comments and Specifics(amount, formulation, etc.)*:
Validation code: Captchapackage Image


Can't read the image? click here to refresh.
    *required field

Your bulk quote request has been submitted successfully!

Please contact us if you have any questions.