• Tel: 858.663.9055
  • SeparatorEmail: info@nsjbio.com
  • Tel: 858.663.9055
  • Email: info@nsjbio.com
Home >> Antibodies >> Malate dehydrogenase 1 Antibody

Malate dehydrogenase 1 Antibody (R34984)

  Catalog No Formulation Size Price (USD)  
Image R34984-100UG 0.5 mg/ml in 1X TBS, pH7.3, with 0.5% BSA (US sourced) and 0.02% sodium azide 100 ug 475
Bulk quote request
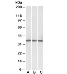
Western blot testing of human [A], mouse [B] and rat [C] heart lysates with Malate dehydrogenase 1 antibody at 0.03ug/ml. Predicted molecular weight: ~36kDa.
Western blot of pig heart lysates with Malate dehydrogenase 1 antibody at 0.1ug/ml. Predicted molecular weight: ~36kDa.
Availability 1-3 business days
Species Reactivity Human, Mouse, Rat, Pig
Format Antigen affinity purified
Host Goat
Clonality Polyclonal (goat origin)
Isotype Goat Ig
Purity Antigen affinity
Gene ID 4190
Applications Western Blot : 0.03-0.1ug/ml
ELISA (peptide) LOD : 1:16000
Limitations This Malate dehydrogenase 1 antibody is available for research use only.
Review this product on BioCompare and get a $20 Amazon gift card

Related Products

Description

Additional name(s) for this target protein: MDHA, MOR2; MDH1

Application Notes

Optimal dilution of the Malate dehydrogenase 1 antibody should be determined by the researcher.

Immunogen

Amino acids PDVNHAKVKLQGK were used as the immunogen for this Malate dehydrogenase 1 antibody.

Storage

Aliquot and store the Malate dehydrogenase 1 antibody at -20oC.

Cross
Bulk Quote Request Form
Name*:
Organization*:
Email*:
Phone Number*:
Catalog No.*:
Comments and Specifics(amount, formulation, etc.)*:
Validation code: Captchapackage Image


Can't read the image? click here to refresh.
    *required field

Your bulk quote request has been submitted successfully!

Please contact us if you have any questions.