• Tel: 858.663.9055
  • SeparatorEmail: info@nsjbio.com
  • Tel: 858.663.9055
  • Email: info@nsjbio.com
Home >> Antibodies >> MAGEA4 Antibody

MAGEA4 Antibody [clone CPTC-MAGEA4-1] (V7316)

  Catalog No Formulation Size Price (USD)  
Image V7316-100UG 0.2 mg/ml in 1X PBS with 0.1 mg/ml BSA (US sourced) and 0.05% sodium azide 100 ug 559
Image
V7316-20UG 0.2 mg/ml in 1X PBS with 0.1 mg/ml BSA (US sourced) and 0.05% sodium azide 20 ug 259
Image
V7316SAF-100UG 1 mg/ml in 1X PBS; BSA free, sodium azide free 100 ug 559
Image
V7316IHC-7ML Prediluted in 1X PBS with 0.1 mg/ml BSA (US sourced) and 0.05% sodium azide; *For IHC use only* 7 ml 559
Microvalidated
Bulk quote request
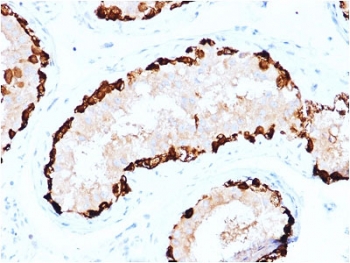
IHC testing of FFPE human testis stained with MAGEA4 antibody. Required HIER: boiling tissue sections in 10mM citrate buffer, pH6, for 10-20 min followed by cooling at RT for 20 min.
Analysis of HuProt(TM) microarray containing more than 19,000 full-length human proteins using MAGEA4 antibody. These results demonstrate the foremost specificity of the CPTC-MAGEA4-1 mAb.
Z- and S- score: The Z-score represents the strength of a signal that an antibody (in combination with a fluorescently-tagged anti-IgG secondary Ab) produces when binding to a particular protein on the HuProt(TM) array. Z-scores are described in units of standard deviations (SD's) above the mean value of all signals generated on that array. If the targets on the HuProt(TM) are arranged in descending order of the Z-score, the S-score is the difference (also in units of SD's) between the Z-scores. The S-score therefore represents the relative target specificity of an Ab to its intended target.
SDS-PAGE analysis of purified, BSA-free MAGEA4 antibody (clone CPTC-MAGEA4-1) as confirmation of integrity and purity.
Availability 1-3 business days
Species Reactivity Human
Format Purified
Host Mouse
Clonality Monoclonal (mouse origin)
Isotype Mouse IgG2c, kappa
Clone Name CPTC-MAGEA4-1
Purity Protein G affinity chromatography
UniProt P43358
Localization Cytoplasmic, nuclear
Applications Immunohistochemistry (FFPE) : 0.5-1ug/ml for 30 min at RT
Limitations This MAGEA4 antibody is available for research use only.
Review this product on BioCompare and get a $20 Amazon gift card

Description

The melanoma-associated antigen (MAGE) family consists of a number of antigens recognized by cytotoxic T lymphocytes. The MAGE genes were initially isolated from different kinds of tumors, and based on their virtually exclusive tumor-specific expression in adult tissues, they have been used as targets for cancer immunotherapy. MAGE genes encode for tumor-rejection antigens and are expressed in tumors of different histologic types, but not in normal tissues, with the exception of testis and placenta.

Application Notes

Optimal dilution of the MAGEA4 antibody should be determined by the researcher.

1. The prediluted format is supplied in a dropper bottle and is optimized for use in IHC. After epitope retrieval step (if required), drip mAb solution onto the tissue section and incubate at RT for 30 min.

Immunogen

Full length human protein was used as the immunogen for the MAGEA4 antibody.

Storage

Store the MAGEA4 antibody at 2-8oC (with azide) or aliquot and store at -20oC or colder (without azide).

Cross
Bulk Quote Request Form
Name*:
Organization*:
Email*:
Phone Number*:
Catalog No.*:
Comments and Specifics(amount, formulation, etc.)*:
Validation code: Captchapackage Image


Can't read the image? click here to refresh.
    *required field

Your bulk quote request has been submitted successfully!

Please contact us if you have any questions.