• Tel: 858.663.9055
  • SeparatorEmail: info@nsjbio.com
  • Tel: 858.663.9055
  • Email: info@nsjbio.com
Home >> Antibodies >> LY6E Antibody / SCA-2

LY6E Antibody / SCA-2 (RQ6323)

  Catalog No Formulation Size Price (USD)  
Image RQ6323 0.5mg/ml if reconstituted with 0.2ml sterile DI water 100 ug 449
Bulk quote request
IHC staining of FFPE human ovarian serous adenocarcinoma tissue with LY6E antibody. HIER: boil tissue sections in pH8 EDTA for 20 min and allow to cool before testing.
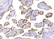
IHC staining of FFPE human placental tissue with LY6E antibody. HIER: boil tissue sections in pH8 EDTA for 20 min and allow to cool before testing.
Western blot testing of human A549 cell lysate with LY6E antibody. Predicted molecular weight ~14 kDa.
Flow cytometry testing of human SiHa cells with LY6E antibody at 1ug/million cells (blocked with goat sera); Red=cells alone, Green=isotype control, Blue= LY6E antibody.
Availability 1-3 business days
Species Reactivity Human
Format Purified
Host Rabbit
Clonality Polyclonal (rabbit origin)
Isotype Rabbit IgG
Purity Antigen affinity purified
Buffer Lyophilized from 1X PBS with 2% Trehalose
UniProt Q16553
Applications Western Blot : 0.5-1ug/ml
Immunohistochemistry (FFPE) : 2-5ug/ml
Flow Cytometry : 1-3ug/million cells
Direct ELISA : 0.1-0.5ug/ml
Limitations This LY6E antibody is available for research use only.
Review this product on BioCompare and get a $20 Amazon gift card

Related Products

  • Applications : IF, FACS, ELISA (peptide)
    Reactivity : Mouse

Description

Lymphocyte antigen 6E is a protein that in humans is encoded by the LY6E gene. Increased expression of Ly6E is associated with poor survival outcome in multiple malignancies as determined by a survey of more than 130 published clinical studies of gene expression studies on cancer tissue samples and adjacent normal tissues. Ly6E is associated with drug resistance and tumor immune escape in breast cancer. Further research is required to validate Ly6E for translation research.

Application Notes

Optimal dilution of the LY6E antibody should be determined by the researcher.

Immunogen

Recombinant human protein (amino acids L21-S101) was used as the immunogen for the LY6E antibody.

Storage

After reconstitution, the LY6E antibody can be stored for up to one month at 4oC. For long-term, aliquot and store at -20oC. Avoid repeated freezing and thawing.

Cross
Bulk Quote Request Form
Name*:
Organization*:
Email*:
Phone Number*:
Catalog No.*:
Comments and Specifics(amount, formulation, etc.)*:
Validation code: Captchapackage Image


Can't read the image? click here to refresh.
    *required field

Your bulk quote request has been submitted successfully!

Please contact us if you have any questions.