• Tel: 858.663.9055
  • SeparatorEmail: info@nsjbio.com
  • Tel: 858.663.9055
  • Email: info@nsjbio.com
Home >> Antibodies >> LRP4 Antibody

LRP4 Antibody (R35990)

  Catalog No Formulation Size Price (USD)  
Image R35990-100UG 0.5 mg/ml in 1X TBS, pH7.3, with 0.5% BSA (US sourced) and 0.02% sodium azide 100 ug 475
Bulk quote request
Western blot testing of human cerebral cortex lysate with LRP4 antibody at 0.1ug/ml. Predicted molecular weight ~212 kDa.
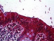
IHC testing of FFPE human colon tissue with LRP4 antibody at 3.75ug/ml. Required HIER: steamed antigen retrieval with pH6 citrate buffer; AP-staining.
Availability 1-3 business days
Species Reactivity Human
Predicted Reactivity Mouse, Rat, Cow
Format Antigen affinity purified
Host Goat
Clonality Polyclonal (goat origin)
Isotype Goat Ig
Purity Antigen affinity
Gene ID 4038
Localization Cytoplasmic
Applications Western Blot : 0.1-0.3ug/ml
IHC (FFPE) : 3.75ug/ml
ELISA (peptide) LOD : 1:32000
Limitations This LRP4 antibody is available for research use only.
Review this product on BioCompare and get a $20 Amazon gift card

Description

Additional name(s) for this target protein: Low density lipoprotein receptor-related protein 4

Application Notes

Optimal dilution of the LRP4 antibody should be determined by the researcher.

Immunogen

Amino acids SNPSYRTSTQEVK were used as the immunogen for this LRP4 antibody.

Storage

Aliquot and store the LRP4 antibody at -20oC.

Cross
Bulk Quote Request Form
Name*:
Organization*:
Email*:
Phone Number*:
Catalog No.*:
Comments and Specifics(amount, formulation, etc.)*:
Validation code: Captchapackage Image


Can't read the image? click here to refresh.
    *required field

Your bulk quote request has been submitted successfully!

Please contact us if you have any questions.