• Tel: 858.663.9055
  • SeparatorEmail: info@nsjbio.com
  • Tel: 858.663.9055
  • Email: info@nsjbio.com
Home >> Antibodies >> LPP Antibody

LPP Antibody (RQ5738)

  Catalog No Formulation Size Price (USD)  
Image RQ5738 0.5mg/ml if reconstituted with 0.2ml sterile DI water 100 ug 449
Bulk quote request
Immunofluorescent staining of FFPE human intestinal cancer with LPP antibody (green) and DAPI nuclear stain (blue). HIER: steam section in pH8 EDTA for 20 min.
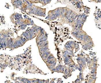
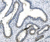
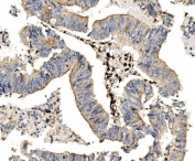
IHC staining of FFPE human rectal cancer with LPP antibody. HIER: boil tissue sections in pH8 EDTA for 20 min and allow to cool before testing.
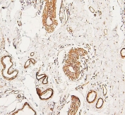
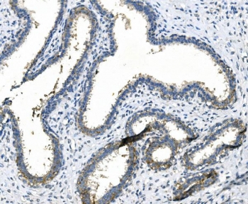
IHC staining of FFPE human breast cancer with LPP antibody. HIER: boil tissue sections in pH8 EDTA for 20 min and allow to cool before testing.
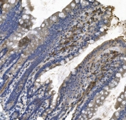
IHC staining of FFPE rat intestine with LPP antibody. HIER: boil tissue sections in pH8 EDTA for 20 min and allow to cool before testing.
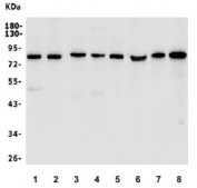
Western blot testing of human 1) A549, 2) HepG2, 3) HeLa, 4) MDA-MB-453, 5) monkey COS-7, 6) rat ovary, 7) rat PC-12 and 8) mouse ovary lysate with LPP antibody. Predicted molecular weight: ~66 kDa but is routinely observed at 80~85 kDa.
Availability 1-3 business days
Species Reactivity Human, Mouse, Rat
Format Antigen affinity purified
Host Rabbit
Clonality Polyclonal (rabbit origin)
Isotype Rabbit IgG
Purity Affinity purified
Buffer Lyophilized from 1X PBS with 2% Trehalose and 0.025% sodium azide
UniProt Q93052
Localization Nuclear, cytoplasmic, plasma membrane
Applications Western Blot : 0.5-1ug/ml
Immunohistochemistry : 1-2ug/ml
Immunofluorescence : 2-4ug/ml
Limitations This LPP antibody is available for research use only.
Review this product on BioCompare and get a $20 Amazon gift card

Related Products

Description

LPP (Lim Domain-Containing Preferred Translocation Partner in Lipoma), is a protein that in humans is encoded by the LPP gene. Petit et al. (1996) commented that the LPP-encoded protein should be classified as a novel member of the group 3 proteins of the LIM protein gene family. By partial cDNA cloning, Petit et al. (1996) established features of the genetic organization of LPP. The gene was found to span a genomic region of over 400 kb. By FISH and Southern blot analyses, Daheron et al. (2001) identified a rearrangement in the mixed lineage leukemia gene due to a novel t(3;11)(q28;q23) translocation in a patient who developed acute myeloid leukemia of the M5 type 3 years after treatment for a follicular lymphoma.

Application Notes

Optimal dilution of the LPP antibody should be determined by the researcher.

Immunogen

Amino acids KTCNSARIRVLTAKASTDL from the human protein were used as the immunogen for the LPP antibody.

Storage

After reconstitution, the LPP antibody can be stored for up to one month at 4oC. For long-term, aliquot and store at -20oC. Avoid repeated freezing and thawing.

Cross
Bulk Quote Request Form
Name*:
Organization*:
Email*:
Phone Number*:
Catalog No.*:
Comments and Specifics(amount, formulation, etc.)*:
Validation code: Captchapackage Image


Can't read the image? click here to refresh.
    *required field

Your bulk quote request has been submitted successfully!

Please contact us if you have any questions.