• Tel: 858.663.9055
  • SeparatorEmail: info@nsjbio.com
  • Tel: 858.663.9055
  • Email: info@nsjbio.com
Home >> Antibodies >> Lipin 3 Antibody

Lipin 3 Antibody (R34568)

  Catalog No Formulation Size Price (USD)  
Image R34568-100UG 0.5 mg/ml in 1X TBS, pH7.3, with 0.5% BSA (US sourced) and 0.02% sodium azide 100 ug 475
Bulk quote request
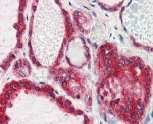
IHC testing of FFPE human thyroid gland with Lipin 3 antibody at 2.5ug/ml. HIER: steamed with pH6 citrate buffer, AP-staining.
Availability 1-3 business days
Species Reactivity Human
Format Antigen affinity purified
Host Goat
Clonality Polyclonal (goat origin)
Isotype Goat Ig
Purity Antigen affinity
Gene ID 64900
Applications Immunohistochemistry (FFPE) : 2-3ug/ml
ELISA (peptide) LOD : 1:64000
Limitations This Lipin 3 antibody is available for research use only.
Review this product on BioCompare and get a $20 Amazon gift card

Description

Additional name(s) for this target protein: LPIN3

Application Notes

Optimal dilution of the Lipin 3 antibody should be determined by the researcher.

Immunogen

Amino acids KPKQKEDAVATD were used as the immunogen for this Lipin 3 antibody.

Storage

Aliquot and store the Lipin 3 antibody at -20oC.

Cross
Bulk Quote Request Form
Name*:
Organization*:
Email*:
Phone Number*:
Catalog No.*:
Comments and Specifics(amount, formulation, etc.)*:
Validation code: Captchapackage Image


Can't read the image? click here to refresh.
    *required field

Your bulk quote request has been submitted successfully!

Please contact us if you have any questions.