• Tel: 858.663.9055
  • SeparatorEmail: info@nsjbio.com
  • Tel: 858.663.9055
  • Email: info@nsjbio.com
Home >> Antibodies >> LIF Antibody

LIF Antibody (R31467)

  Catalog No Formulation Size Price (USD)  
Image R31467 0.5mg/ml if reconstituted with 0.2ml sterile DI water 100 ug 449
Bulk quote request
Western blot testing of LIF antibody and recombinant human protein (0.5ng)
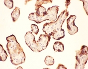
IHC-P: LIF antibody testing of human placenta tissue
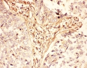
IHC-P: LIF antibody testing of human lung cancer tissue
Availability 1-3 business days
Species Reactivity Human
Format Antigen affinity purified
Host Rabbit
Clonality Polyclonal (rabbit origin)
Isotype Rabbit IgG
Purity Antigen affinity
Buffer Lyophilized from 1X PBS with 2.5% BSA and 0.025% sodium azide
Gene ID 3976
Applications Western Blot : 0.5-1ug/ml
IHC (FFPE) : 0.5-1ug/ml
Limitations This LIF antibody is available for research use only.
Review this product on BioCompare and get a $20 Amazon gift card

Related Products

Description

LIF is a pleiotropic cytokine produced at the maternal-fetal interface which has been shown to play an essential role in implantation in mice. This gene is mapped to 22q11-q12.2, between the Philadelphia translocation BCR gene and the breakpoint of the translocation in cell line GM2324 at 22q12.2. LIF is produced in high amounts by the human endometrium and the trophoblast itself, and LIF receptors are present on cytotrophoblast cells. It could, thus, play a role in modulating HLA-G production and immune tolerance at the maternal-fetal interface.

Application Notes

Titration of the LIF antibody may be required due to differences in protocols and secondary/substrate sensitivity.

Immunogen

Human partial recombinant protein (AA 23-202) was used as the immunogen for this LIF antibody.

Storage

The lyophilized LIF antibody can be stored at 4oC to -20oC. After reconstitution, aliquot and store at -20oC. Avoid repeated freeze/thaws.

Cross
Bulk Quote Request Form
Name*:
Organization*:
Email*:
Phone Number*:
Catalog No.*:
Comments and Specifics(amount, formulation, etc.)*:
Validation code: Captchapackage Image


Can't read the image? click here to refresh.
    *required field

Your bulk quote request has been submitted successfully!

Please contact us if you have any questions.