• Tel: 858.663.9055
  • SeparatorEmail: info@nsjbio.com
  • Tel: 858.663.9055
  • Email: info@nsjbio.com
Home >> Antibodies >> LFA-1 Antibody / CD18

LFA-1 Antibody / CD18 (R34026)

  Catalog No Formulation Size Price (USD)  
Image R34026-100UG 0.5 mg/ml in 1X TBS, pH7.3, with 0.5% BSA (US sourced) and 0.02% sodium azide 100 ug 475
Bulk quote request
Western blot testing of human A) K562 and B) U937 cell lysates with LFA-1 antibody at 0.3ug/ml. Predicted/observed molecular weight: 85~95 kDa depending on glycosylation level.
Western blot testing of human 1) U937, B) K562 and C) MOLT-4 cell lysates with LFA-1 antibody Predicted/observed molecular weight: 85~95 kDa depending on glycosylation level.
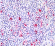
IHC staining of FFPE human spleen tissue with LFA-1 antibody at 5ug/ml. Required HIER: steamed antigen retrieval with pH6 citrate buffer; AP-staining.
Availability 1-3 business days
Species Reactivity Human
Format Antigen affinity purified
Host Goat
Clonality Polyclonal (goat origin)
Isotype Goat Ig
Purity Antigen affinity
Gene ID 3689
Applications Western Blot : 0.3-1ug/ml
Immunohistochemistry (FFPE) : 5ug/ml
ELISA (peptide) LOD : 1:128000
Limitations This LFA-1 antibody is available for research use only.
Review this product on BioCompare and get a $20 Amazon gift card

Related Products

Description

Additional name(s) for this target protein: Integrin beta 2; ITGB2; CD18 subunit of the LFA-1 heterdimer

Application Notes

Optimal dilution of the LFA-1 antibody should be determined by the researcher.

Immunogen

Amino acids ETQEDHNGGQKQLS from the CD18 subunit were used as the immunogen for this LFA-1 antibody.

Storage

Aliquot and store the LFA-1 antibody at -20oC.

Cross
Bulk Quote Request Form
Name*:
Organization*:
Email*:
Phone Number*:
Catalog No.*:
Comments and Specifics(amount, formulation, etc.)*:
Validation code: Captchapackage Image


Can't read the image? click here to refresh.
    *required field

Your bulk quote request has been submitted successfully!

Please contact us if you have any questions.