• Tel: 858.663.9055
  • SeparatorEmail: info@nsjbio.com
  • Tel: 858.663.9055
  • Email: info@nsjbio.com
Home >> Antibodies >> LFA-1 Antibody / CD11a

LFA-1 Antibody / CD11a (R36394)

  Catalog No Formulation Size Price (USD)  
Image R36394-100UG 0.5 mg/ml in 1X TBS, pH7.3, with 0.5% BSA (US sourced) and 0.02% sodium azide 100 ug 475
Bulk quote request
Western blot testing of human spleen lysate with LFA-1 antibody at 0.5ug/ml. Predicted molecular weight: ~129 kDa (unmodified), up to 200 kDa (glycosylated).
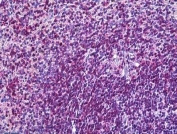
IHC staining of FFPE human spleen with LFA-1 antibody at 4ug/ml. HIER: steamed with pH6 citrate buffer, AP-staining.
IHC staining of FFPE human spleen with LFA-1 antibody at 3.75ug/ml. HIER: steamed with pH6 citrate buffer, AP-staining.
IHC staining of FFPE human lymph node with (top) and without (bottom) LFA-1 antibody at 2ug/ml. HIER: steamed with pH6 citrate buffer, HRP-staining.
FACS testing of fixed and permeabilized human ThP-1 cells with LFA-1 antibody (blue) at 10ug/ml and naive goat Ig (black).
Availability 1-3 business days
Species Reactivity Human
Format Antigen affinity purified
Host Goat
Clonality Polyclonal (goat origin)
Isotype Goat Ig
Purity Antigen affinity
Gene ID 3683
Applications Western Blot : 0.5-2ug/ml
Immunohistochemistry (FFPE) : 2-6ug/ml
Flow Cytometry : 10ug/ml
ELISA (peptide) LOD : 1:16000
Limitations This LFA-1 antibody is available for research use only.
Review this product on BioCompare and get a $20 Amazon gift card

Related Products

Description

Additional name(s) for this target protein: Lymphocyte function-associated antigen 1; CD11A; integrin alpha L (ITGAL); CD11a subunit of the LFA-1 heterdimer

Application Notes

Optimal dilution of the LFA-1 antibody should be determined by the researcher.

Immunogen

Amino acids YQVRIQPSIHDHN from the CD11a subunit were used as the immunogen for this LFA-1 antibody.

Storage

Aliquot and store the LFA-1 antibody at -20oC.

Cross
Bulk Quote Request Form
Name*:
Organization*:
Email*:
Phone Number*:
Catalog No.*:
Comments and Specifics(amount, formulation, etc.)*:
Validation code: Captchapackage Image


Can't read the image? click here to refresh.
    *required field

Your bulk quote request has been submitted successfully!

Please contact us if you have any questions.