• Tel: 858.663.9055
  • SeparatorEmail: info@nsjbio.com
  • Tel: 858.663.9055
  • Email: info@nsjbio.com
Home >> Antibodies >> LCTL Antibody / Lactase-like protein

LCTL Antibody / Lactase-like protein (RQ8560)

  Catalog No Formulation Size Price (USD)  
Image RQ8560 0.5mg/ml if reconstituted with 0.2ml sterile DI water 100 ug 449
Bulk quote request
Flow cytometry testing of fixed and permeabilized human HepG2 cells with LCTL antibody at 1ug/million cells (blocked with goat sera); Red=cells alone, Green=isotype control, Blue= LCTL antibody.
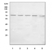
Western blot testing of 1) human A549, 2) human A431, 3) human MCF7, 4) rat C6 and 5) mouse Neuro-2a cell lysate with LCTL antibody. Predicted molecular weight ~65 kDa but may be observed at higher molecular weights due to glycosylation.
Availability 1-3 days
Species Reactivity Human, Mouse, Rat
Format Antigen affinity purified
Host Rabbit
Clonality Polyclonal (rabbit origin)
Isotype Rabbit IgG
Purity Antigen affinity purified
Buffer Lyophilized from 1X PBS with 2% Trehalose
UniProt Q6UWM7
Applications Western Blot : 0.5-1ug/ml
Flow Cytometry : 1-3ug/million cells
ELISA : 0.1-0.5ug/ml
Limitations This LCTL antibody is available for research use only.
Review this product on BioCompare and get a $20 Amazon gift card

Description

Lactase-like is a protein that in humans is encoded by the LCTL gene. This gene encodes a member of family 1 glycosidases. Glycosidases are enzymes that hydrolyze glycosidic bonds and are classified into families based on primary amino acid sequence. Most members of family 1 have two conserved glutamic acid residues, which are required for enzymatic activity. The mouse ortholog of this protein has been characterized and has a domain structure of an N-terminal signal peptide, glycosidase domain, transmembrane domain, and a short cytoplasmic tail. It lacks one of the conserved glutamic acid residues important for catalysis, and its function remains to be determined (PMID: 12084582). Alternative splicing results in multiple transcript variants.

Application Notes

Optimal dilution of the LCTL antibody should be determined by the researcher.

Immunogen

An E.coli-derived human recombinant protein (amino acids D67-Q537) was used as the immunogen for the LCTL antibody.

Storage

After reconstitution, the LCTL antibody can be stored for up to one month at 4oC. For long-term, aliquot and store at -20oC. Avoid repeated freezing and thawing.

Cross
Bulk Quote Request Form
Name*:
Organization*:
Email*:
Phone Number*:
Catalog No.*:
Comments and Specifics(amount, formulation, etc.)*:
Validation code: Captchapackage Image


Can't read the image? click here to refresh.
    *required field

Your bulk quote request has been submitted successfully!

Please contact us if you have any questions.