• Tel: 858.663.9055
  • SeparatorEmail: info@nsjbio.com
  • Tel: 858.663.9055
  • Email: info@nsjbio.com
Home >> Antibodies >> Laminin Antibody

Laminin Antibody [clone LAM-89] (R30047)

  Catalog No Formulation Size Price (USD)  
Image R30047 0.5mg/ml if reconstituted with 0.2ml sterile DI water 100 ug 449
Bulk quote request
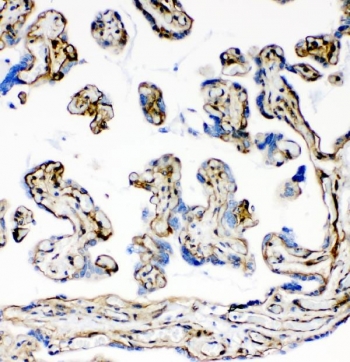
IHC staining of FFPE human placental tissue with Laminin antibody. HIER: boil tissue sections in pH8 EDTA for 20 min and allow to cool before testing.
Availability 1-3 business days
Species Reactivity Human
Format Ascites
Host Mouse
Clonality Monoclonal (mouse origin)
Isotype Mouse IgG1
Clone Name LAM-89
Purity Unpurified ascites
Gene ID 284217
Applications Immunohistochemistry (FFPE) : 2-5ug/ml
Limitations This Laminin antibody is available for research use only.
Review this product on BioCompare and get a $20 Amazon gift card

Related Products

Description

Laminin is a heterotrimeric extracellular matrix protein consisting of 3 chains: alpha-1,beta-1 and gamma-1, formerly called beta-2(LAMA2). This gene is over 260,000 base pairs and contains 64 exons. Laminn is similar with merosin, a basement membrane-associated protein found in placenta, striated muscle, and peripheral nerve, and both of them are members of the same family of basement membrane proteins. And merosin is the same as laminn-M, a striated muscle-specific, basal-lamina-associated protein, it may play a primary role in the pathogenesis of that disorder.

Application Notes

The stated application concentrations are suggested starting points. Titration of the Laminin antibody may be required due to differences in protocols and secondary/substrate sensitivity.

Immunogen

Human laminin was used as the immunogen for this Laminin antibody.

Storage

After reconstitution, the Laminin antibody can be stored for up to one month at 4oC. For long-term, aliquot and store at -20oC. Avoid repeated freezing and thawing.

Cross
Bulk Quote Request Form
Name*:
Organization*:
Email*:
Phone Number*:
Catalog No.*:
Comments and Specifics(amount, formulation, etc.)*:
Validation code: Captchapackage Image


Can't read the image? click here to refresh.
    *required field

Your bulk quote request has been submitted successfully!

Please contact us if you have any questions.