• Tel: 858.663.9055
  • SeparatorEmail: info@nsjbio.com
  • Tel: 858.663.9055
  • Email: info@nsjbio.com
Home >> Antibodies >> L3MBTL2 Antibody / Lethal(3)malignant brain tumor-like protein 2

L3MBTL2 Antibody / Lethal(3)malignant brain tumor-like protein 2 (RQ8590)

  Catalog No Formulation Size Price (USD)  
Image RQ8590 0.5mg/ml if reconstituted with 0.2ml sterile DI water 100 ug 449
Bulk quote request
Immunofluorescent staining of FFPE human U-2 OS cells with L3MBTL2 antibody (red) and Beta Tubulin mAb (green). HIER: steam section in pH6 citrate buffer for 20 min.
IHC staining of FFPE human esophageal squamous carcinoma tissue with L3MBTL2 antibody. HIER: boil tissue sections in pH8 EDTA for 20 min and allow to cool before testing.
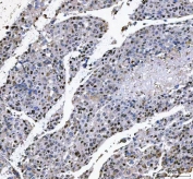
IHC staining of FFPE human liver cancer tissue with L3MBTL2 antibody. HIER: boil tissue sections in pH8 EDTA for 20 min and allow to cool before testing.
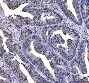
IHC staining of FFPE human colorectal adenocarcinoma tissue with L3MBTL2 antibody. HIER: boil tissue sections in pH8 EDTA for 20 min and allow to cool before testing.
Western blot testing of 1) human 293T, 2) human HeLa and 3) human MOLT4 cell lysate with L3MBTL2 antibody. Predicted molecular weight: 79 kDa and 69 kDa (multiple isoforms).
Availability 1-3 days
Species Reactivity Human
Format Antigen affinity purified
Host Rabbit
Clonality Polyclonal (rabbit origin)
Isotype Rabbit IgG
Purity Antigen affinity purified
Buffer Lyophilized from 1X PBS with 2% Trehalose
UniProt Q969R5
Applications Western Blot : 0.5-1ug/ml
Immunohistochemistry (FFPE) : 2-5ug/ml
Immunofluorescence : 5ug/ml
ELISA : 0.1-0.5ug/ml
Limitations This L3MBTL2 antibody is available for research use only.
Review this product on BioCompare and get a $20 Amazon gift card

Description

Lethal(3)malignant brain tumor-like 2 protein is a protein that in humans is encoded by the L3MBTL2 gene. Putative Polycomb group (PcG) protein. PcG proteins maintain the transcriptionally repressive state of genes,probably via a modification of chromatin, rendering it heritably changed in its expressibility. Its association with achromatin-remodeling complex suggests that it may contribute to prevent expression of genes that trigger the cell intomitosis

Application Notes

Optimal dilution of the L3MBTL2 antibody should be determined by the researcher.

Immunogen

An E.coli-derived human recombinant protein (amino acids E208-Q701) was used as the immunogen for the L3MBTL2 antibody.

Storage

After reconstitution, the L3MBTL2 antibody can be stored for up to one month at 4oC. For long-term, aliquot and store at -20oC. Avoid repeated freezing and thawing.

Cross
Bulk Quote Request Form
Name*:
Organization*:
Email*:
Phone Number*:
Catalog No.*:
Comments and Specifics(amount, formulation, etc.)*:
Validation code: Captchapackage Image


Can't read the image? click here to refresh.
    *required field

Your bulk quote request has been submitted successfully!

Please contact us if you have any questions.